Каждому из нас знакомо состояние, когда возникает головная боль, сопровождающаяся физической слабостью. Чаще всего это происходит из-за усталости в конце рабочего дня, простуды или эмоционального напряжения. Однако иногда эти симптомы могут указывать на более серьезные патологии, требующие обращения к специалисту. Знаете ли вы, как определить причину головной боли и что делать для ее устранения?
Причины состояния
Головная боль и слабость могут возникать по различным причинам:
- простудные или вирусные заболевания;
- воспалительные процессы в организме;
- снижение артериального давления (гипотония);
- нехватка витаминов и минералов (например, витаминов D и B12, необходимых для транспортировки кислорода к мозгу);
- бесконтрольный прием некоторых лекарств с побочными эффектами;
- нарушения работы щитовидной железы, сахарный диабет и другие эндокринные заболевания;
- эмоциональные нагрузки и стрессы;
- некоторые желудочно-кишечные заболевания, нарушающие всасывание питательных веществ;
- сердечно-сосудистые болезни;
- менингит;
- доброкачественные и злокачественные опухоли;
- мигрень;
- синдром хронической усталости;
- недосыпание.
Как определить заболевание?
Причины головной боли и усталости могут быть разнообразными. Как же определить, являются ли эти симптомы признаками опасного заболевания?
Мнение эксперта
Филимошин Олег Александрович
Врач-невролог, городская поликлиника г. Оренбурга.
Образование: Оренбургская государственная медицинская академия.
Важно понимать, что серьезные заболевания обычно сопровождаются рядом сопутствующих симптомов. Эти симптомы помогают различить различные проблемы.
ОРВИ
Описание
Задайте свой вопрос врачу-неврологу бесплатно
Ирина Мартынова. Закончила Воронежский государственный медицинский университет им. Н.Н. Бурденко. Клинический ординатор и невролог БУЗ ВО «Московская поликлиника». Задать вопрос>>
Группа заболеваний, характеризующихся острым воспалительным процессом в органах дыхания из-за вирусной инфекции.
Тип боли
При ОРВИ боль связана с повышением температуры и воспалением в горле, пазухах и носоглотке.
Боль чаще всего локализуется в области лба и висков, сопровождается давлением, «распиранием» и тяжестью.
Другие проявления
ОРВИ может вызывать повышение температуры до 38-39 градусов, заложенность носа, кашель, воспаление горла, ломоту в теле, озноб, общее недомогание и резь в глазах. Иногда возникают осложнения, такие как отит, ларингит или бронхит.
Методы диагностики и терапии
Диагностику проводит терапевт или ЛОР. Лечение назначается на дому и включает: постельный режим, микстуры от кашля, сосудосуживающие капли в нос, растительные отвары для полоскания горла, чай с малиной и медом, средства для укрепления иммунитета (Анаферон, настойка эхинацеи, Иммунал).
Мигрень
Описание
Мигрень (migraine) — это неврологическое заболевание, основным признаком которого являются мучительные головные боли, вызванные нарушением работы сосудов.
Мнение эксперта
Митруханов Эдуард Петрович
Врач-невролог, городская поликлиника, Москва.
Образование: Российский государственный медицинский университет, ГБОУ ДПО Российская медицинская академия последипломного образования МЗД РФ, Волгоградский государственный медицинский университет.
При мигрени отсутствуют серьезные органические патологии, такие как травмы или опухоли.
Тип болевых ощущений
Мигрень проявляется сильными и мучительными головными болями высокой или средней интенсивности. Боль усиливается при движении и может быть эпизодической или постоянной, локализуясь с одной стороны головы (реже — с двух). Без лечения приступы могут длиться до 72 часов.
Другие проявления
Сопутствующие симптомы включают тошноту, рвоту, фонофобию (чувствительность к громким звукам), учащенное сердцебиение, частое мочеиспускание, потливость, сонливость и вялость.
Методы диагностики и терапии
Диагностику проводит врач-невролог. Диагноз устанавливается на основе анализа жалоб пациента, лабораторных исследований, рентгенографии и МРТ.
Для лечения используются успокоительные средства (экстракт валерианы, Персен, Тенотен), растительные и синтетические антидепрессанты (настойка зверобоя, Амитриптилин), НПВП (Напроксен, Ибупрофен) и анальгетики.
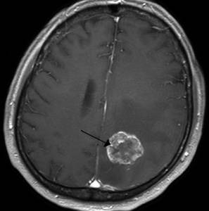
Злокачественная опухоль
Описание
Злокачественная опухоль представляет собой патологическое новообразование, состоящее из раковых клеток, которые быстро растут и могут метастазировать, что угрожает жизни человека.
Тип боли
Интенсивность и характер боли зависят от локализации опухоли, стадии заболевания и индивидуальных особенностей пациента.
Другие проявления
На ранних стадиях опухоль может не проявляться, пока не начнет активно расти. В этот момент состояние пациента ухудшается, могут возникать тошнота, утомляемость, рвота, нарушения слуха и зрения, трудности в распознавании речи, а также расстройства общей и мелкой моторики.
Клиническая картина рака разнообразна и сложна.
Методы диагностики и терапии
Диагностика включает КТ, МРТ, рентген, лабораторные анализы, гистологию и цитологию. Лечение обычно хирургическое, с возможным назначением курса химиотерапии или лучевой терапии, а затем длительного поддерживающего медикаментозного лечения.
Менингит
Описание
Менингит — это тяжелое инфекционное заболевание, которое вызывает воспаление головного и спинного мозга из-за попадания в организм бактерий, вирусов или грибков.
Может возникать как самостоятельное заболевание или как осложнение.
Тип боли
Боль при менингите очень сильная, резкая, диффузная и распирающая. Она усиливается при движении, поворотах головы, а также от резкого шума и яркого света. При гнойном менингите болевой синдром особенно выражен.
Другие проявления
Пациентов могут беспокоить ломота в теле, тошнота, рвота, ригидность шеи, лихорадка, повышенная чувствительность к звукам и свету, измененное состояние сознания, раздражительность и сонливость.
Методы диагностики и терапии
Для диагностики менингита используется люмбальная пункция. Врач извлекает спинномозговую жидкость из позвоночного канала и направляет ее в лабораторию для анализа. Диагноз подтверждается при обнаружении вредоносных возбудителей (бактерий или вирусов). Лечение менингита включает антибиотики, противовирусные или противогрибковые препараты в зависимости от типа возбудителя.
Иногда назначаются стероидные лекарства.
Боррелиоз
Описание
Боррелиоз (болезнь Лайма) — инфекционное заболевание, передаваемое человеку через укусы клещей и насекомых.
Тип боли
При боррелиозе наблюдаются сильные головные боли, чаще всего локализованные в глазном яблоке и отдающие в затылок. Симптомы сохраняются даже во время сна.
Другие проявления
Болезнь сопровождается ломотой и скованностью в мышцах и суставах, высокой температурой (до 40 градусов), тошнотой, рвотой, вялостью, а также нарушениями работы центральной нервной системы и сердечно-сосудистой системы.
Болезнь преимущественно поражает кожные покровы, нервную и сердечно-сосудистую системы, опорно-двигательный аппарат.
Способы диагностики и лечения
Диагностика болезни Лайма основывается на клинической картине, эпидемиологическом анамнезе (например, прогулка в лесу, укус клеща) и серологическом исследовании на наличие антител к боррелиям в сыворотке крови. Используются методы ИФА или ПЦР. Лечение комплексное, выбор препаратов зависит от тяжести заболевания. Обязательно назначаются антибиотики, а также нестероидные противовоспалительные препараты (например, напроксен, индометацин), иммунодепрессанты (плаквенил), анальгетики и общеукрепляющие средства.
Артериальная гипертония
Описание
Гипертония — заболевание сердечно-сосудистой системы, характеризующееся стойким повышением артериального давления (140/90 и выше).
Тип боли
Боль при гипертонии может быть сжимающей или генерализованной, пульсирующей, иногда создающей ощущение плотной повязки на голове.
Обычно она усиливается по утрам и затихает в течение дня.
Другие проявления
Среди других симптомов — тошнота, заложенность и шум в ушах, пелена перед глазами, учащенное сердцебиение, давление в глазах, головокружение, вялость и подавленность.
Методы диагностики и лечения
Диагноз ставит врач-кардиолог на основе анамнеза, жалоб пациента, холтеровского мониторирования, ЭКГ и регулярного измерения давления. Лечение комплексное и медикаментозное.
Специалист может назначить блокаторы рецепторов ангиотензина, диуретики, антагонисты калия и препараты для очищения сосудов.
Абузусная головная боль
Описание
Специалисты называют эту головную боль «рикошетной» или «лекарственной». Она возникает из-за злоупотребления аптечными препаратами и относится к вторичным формам цефалгий, тесно связанным с мигренью.
Тип боли
Боль проявляется двусторонней цефалгией сжимающего или давящего характера, умеренной или слабой интенсивности. Она может быть диффузной, локализоваться в лобно-затылочной области или висках.
Боль усиливается при интеллектуальной и физической нагрузке.
Другие проявления
Сопутствуют усталость, вялость и подавленное настроение.
Методы диагностики и терапии
Диагностика основывается на анамнезе и опросе пациента о принимаемых препаратах. Для устранения абузусной головной боли снижают дозировку лекарства или полностью его отменяют, назначают средства от цефалгии, иногда антидепрессанты.
В тяжелых случаях может потребоваться детоксикация.
Другие причины
Слабость и головные боли могут возникать при различных состояниях, помимо перечисленных заболеваний.
-
Заболевания придаточных пазух носа (гайморит, этмоидит, фронтит). При синуситах пациенты часто жалуются на головную боль, общую слабость, заложенность носа, а также давление и тяжесть в голове при наклоне.
-
Аллергические реакции. Весной, в период цветения, многие сталкиваются с аллергией на пыльцу. Симптомы включают головную боль, сонливость, заложенность носа, слезотечение, сыпь и другие проявления поллиноза.
-
Гиперсомния — это состояние, характеризующееся длительным ночным сном без объективной необходимости и дневной усталостью. Основные признаки — сонливость, усталость и головная боль. Астения является одной из форм гиперсомнии.
-
Анемия (малокровие) также проявляется вялостью, усталостью и болевыми ощущениями. У пациентов наблюдается снижение уровня гемоглобина, недостаток эритроцитов и нехватка кислорода в крови, что приводит к неприятным симптомам.
-
Сахарный диабет и другие эндокринные расстройства могут вызывать аналогичные симптомы. Диабет сопровождается повышением уровня сахара в крови, пониженным давлением, головокружением, сонливостью и жаждой.
Это лишь часть заболеваний, при которых могут возникать слабость и головная боль.
Истинную причину этих симптомов может определить только специалист.
Алгоритм диагностики
Способы и методы диагностики подбираются индивидуально. Сначала врач осматривает пациента, оценивает характер жалоб и расспрашивает о перенесенных болезнях и хронических недугах. Затем уточняет локализацию болей, их длительность и частоту возникновения.
Примерный список вопросов
- Как долго вас беспокоит болевой синдром и слабость?
- В каком месте вы ощущаете боль?
- Как часто возникают эти симптомы?
- Ощущаете ли вы тошноту во время приступов?
- Бывают ли у вас головокружения?
- Усиливаются ли симптомы при физической нагрузке?
- Влияет ли ваше состояние на общую активность в течение дня?
- Наблюдали ли вы у родственников похожие симптомы?
- Чем вы снимаете неприятные ощущения?
- Какие лекарства вы принимаете в настоящее время?
- Какими заболеваниями вы болели в последние месяцы?
- Есть ли у вас или ваших ближайших родственников хронические заболевания?
Если консультации с пациентом недостаточно, врач назначает дополнительные методы диагностики, такие как лабораторные анализы, ЭКГ, МРТ и другие.
На основании полученных данных будет установлен точный диагноз.
Как снять симптомы самостоятельно?
Если неприятные симптомы вызваны физической усталостью, умственными нагрузками или напряжением в течение рабочего дня, болевой синдром можно устранить самостоятельно, без лекарств.
Положительное влияние оказывают пешие прогулки на свежем воздухе, контрастный душ, теплая ванна с морской солью, проветривание помещения и медитация. Можно просто полежать, расслабиться, послушать спокойную музыку или почитать легкую книгу.
При головной боли можно приготовить ароматный чай с листьями мяты, шиповником, лимоном, клюквой или ромашкой. Эти напитки укрепляют, успокаивают, придают силы, повышают иммунитет и улучшают работу мозга.
В некоторых случаях допустим прием простых обезболивающих средств (например, Ношпа, Спазган).
Однако следует помнить, что у каждого средства есть противопоказания и побочные действия, поэтому лучше проконсультироваться с врачом перед их применением.
В каком случае обращаться к врачу?
Пациенту важно знать: если головные боли и усталость сопровождаются другими симптомами, такими как тошнота, рвота, нарушение зрения, чувствительность к громким звукам или дезориентация, необходимо немедленно обратиться к врачу!
Посмотрите видео на эту тему.
https://youtube.com/watch?v=Cn2VSzeuKQo
Заключение
Слабость и головная боль — распространенные симптомы, с которыми врачи часто сталкиваются в клинической практике. Обычно они не угрожают здоровью и легко устраняются домашними средствами или легкими медикаментами.
Однако в некоторых случаях эти симптомы могут указывать на серьезные заболевания. Поэтому важно внимательно следить за своим самочувствием и при необходимости обращаться к врачу.
Иногда люди испытывают сильные и регулярные боли в затылке. У разных людей они могут проявляться по-разному: от резкой и острой до тупой, с ощущением распирания. Причин, вызывающих боль в затылке или лбу, много.
Часто такие боли возникают после тренировок или физической нагрузки. Одной из причин может быть постоянный стресс, который приводит к слабости и усталости. Боль иногда отдает в плечи.
Если головные боли продолжаются долго, например, год, и сопровождаются болями в височной области, частой слабостью и ухудшением самочувствия после тренировок, это может указывать на заболевания или неправильное расположение черепных соединений, неправильный прикус, болезни шеи (остеохондроз, грыжа), гипертонию, длительную мигрень или спазмы сосудов в области затылка.
Обычно боли в лбу и затылке связаны с шейным отделом или травмой головного мозга. Если при этом возникает слабость и боль отдает в затылок, необходимо незамедлительно обратиться к специалисту, так как это может привести к серьезным осложнениям.
Если болит какая-либо косточка в голове, лоб и затылок, и после тренировок состояние ухудшается, это может быть связано с заболеваниями сосудов в шейной области. Такие боли часто возникают из-за малоподвижного образа жизни, неправильной осанки или заболеваний шейных позвонков.
Шейный остеохондроз
При этой болезни смещаются позвонки, что приводит к шейной и головной боли, а также болям в лбу и затылке. Иногда наблюдаются тошнота, ухудшение зрения и головокружение, что может нарушать координацию движений. Также могут появляться «мушки» перед глазами. После физической нагрузки возникает головная боль и затрудняется движение. Часто наблюдается мигрень и боль в височной области.
Шейный спондилез
Болезнь проявляется наростами на позвоночнике, которые ограничивают движения. Также возникают регулярные головные боли, усиливающиеся при движении. Из-за болей во время сна наблюдается недосып.
Гипертония
Болезнь, при которой повышается артериальное давление, сопровождается частыми и сильными головными болями в затылке. Обычно также наблюдаются тошнота, усталость, головокружение и учащенное сердцебиение.
Шейный миозит
Эта болезнь часто возникает на фоне простуды или травм. Она может появиться из-за длительного нахождения в неудобном положении. После тряски или движения головой может болеть затылок или лоб. Боль часто отдается в спину и грудь. Обычно одна сторона головы болит сильнее, чем другая.
Миогелоз шейного отдела позвоночника
Болезнь, при которой возникают утолщения в шейном отделе, может вызывать головные боли и головокружение во время или после тренировки. Частой причиной боли является невралгия шейных нервов. Боли проявляются приступами и отдаются в лицо, ухо, шею и спину. При движениях боль усиливается и имеет резкий, острый характер.
Сосудистые боли возникают из-за воспаления сосудов. Они проявляются резкой болью в затылке и лбу, особенно во время движений. В лежачем положении боль становится менее интенсивной. После тренировки она усиливается из-за спазма сосудов. Иногда могут появляться мурашки по всему телу.
Профессиональные боли
Боли часто возникают у людей с малоподвижным образом жизни, например, у офисных работников или водителей. Длительное сидение может привести к дискомфорту и болям.
Повышенное внутричерепное давление
Боль начинается в затылке, затем охватывает лоб и другие участки головы. Ощущается сдавливание и тяжесть, может возникнуть тошнота. Также возможно появление мигрени, сопровождающейся непереносимостью света и звука.
Нарушение прикуса
Незначительная болезнь может привести к серьезным последствиям. У пациента возникает резкая и постоянная боль в затылке, усиливающаяся к вечеру. Это может нарушить сон и продолжаться несколько дней.
Что следует делать в первую очередь?
Сначала следует временно прекратить тяжелые тренировки, если после них возникают боли в лбу и затылке. При болях в костях рекомендуется проводить специальные физиотерапии. Важно исключить стресс и агрессию, а также разобраться в своих внутренних состояниях. Вредные привычки могут быть причиной болей в лбу и затылке, особенно если они продолжаются целый год. Необходимо обратить внимание на образ жизни, исключив табак и алкоголь, а также избегая слишком сложных тренировок.
Еще одной причиной болей в лбу и затылке, а также в костях, может быть недостаток витаминов, таких как йод или магний. В этом случае стоит обратиться за консультацией к специалисту и следовать его рекомендациям.
Для назначения эффективного лечения при сильных болях в затылке и лбу необходимо выяснить их причины. Пациент должен пройти полное обследование у различных специалистов, включая невролога и стоматолога, а также сделать рентген шейного отдела позвоночника. Лечением головных болей занимаются не только узкие специалисты, но и врачи разных направлений, в зависимости от выявленной причины. Чаще всего этим занимаются мануальные терапевты и массажисты, а также квалифицированные физиотерапевты. Если боль вызвана остеохондрозом или профессиональными факторами, массаж может быть очень полезен. Однако при высоком внутричерепном или артериальном давлении массаж противопоказан, так как это может усугубить состояние.
Правильная физиотерапия — одно из лучших решений при головной боли. При остеохондрозе и миогелозе часто применяются ультразвуковые и магнитные физиотерапии, а также электрофорез. В случае нарушения прикуса необходима помощь опытного стоматолога, поэтому не стоит откладывать лечение.
Народная медицина
Существуют альтернативы лечению в больнице для тех, кто предпочитает народную медицину. При головной боли в области лба и затылка полезно регулярно проветривать помещение и увлажнять воздух с помощью специальных приборов. Наложение компресса на голову и увеличение потребления жидкости также могут помочь. Компресс можно сделать из промятых капустных листьев, накрошенного лука или растертого хрена. Рекомендуется пить горячий крепкий чай из ромашки или липы, а также употреблять шалфей, мяту и мелиссу. Важно исключить или минимизировать употребление алкоголя и табака, так как вредные вещества могут усилить боль. Если у вас профессиональное заболевание, обустройте рабочее место максимально удобно и рассмотрите возможность использования ортопедической продукции. Сон на ортопедической подушке может значительно улучшить качество сна и способствовать расслаблению мышц.








