Боли в спине справа редко возникают по естественным причинам, например, из-за мышечного перенапряжения после тяжелого рабочего дня. Чаще всего их появление указывает на развивающуюся патологию. Поэтому даже слабая боль в спине должна стать поводом для обращения к врачу. Своевременное консервативное или хирургическое лечение поможет избежать осложнений, которые могут быть необратимыми.
Где болит
На первом приеме врач просит пациента указать, где возникают боли. Локализация болей помогает предположить причину недомогания. Подробное описание сопутствующих симптомов и характера болей также способствует выставлению предварительного диагноза. Боли могут быть ноющими, тянущими, давящими, пульсирующими, жгучими или пронизывающими. Слабые боли обычно указывают на хронический воспалительный или дегенеративный процесс, тогда как сильные свидетельствуют о его обострении.
Между лопаток
Боли между лопаток часто связаны с воспалением легких, особенно если они сопровождаются повышением температуры, одышкой, нехваткой воздуха при вдохе и сухим кашлем. Такие боли также могут возникать при повреждении или сдавлении спинномозговых корешков в грудном отделе позвоночника из-за смещения дисков, деформации позвонков или костных наростов (остеофитов).
https://youtube.com/watch?v=H8_UeOZdplk
Под ребрами
В области спины расположены многие внутренние органы, повреждение которых может вызывать боли справа. Это может указывать на проблемы с печенью, желчным пузырем, селезенкой или поджелудочной железой. Развивающаяся патология одного из органов часто сопровождается желудочно-кишечными расстройствами, включая тошноту и рвоту.
В боку справа
Боль в правом боку — один из основных симптомов заболеваний мочевыделительной системы. Она часто связана с воспалительными процессами в почках, мочеточниках и мочевом пузыре. Особенно опасны инфекции, которые могут быстро затрагивать здоровые ткани и органы. Реже боли в правом боку вызываются аппендицитом.
В пояснице
Тянущая, постоянная ноющая боль в пояснице часто связана с воспалением органов малого таза. Однако в большинстве случаев она свидетельствует о деструктивно-дегенеративных изменениях в межпозвонковых дисках и позвонках. Острая боль в поясничном отделе обычно возникает при воспалении или сдавлении нервного корешка, а также при травме, вызванной межпозвоночной грыжей.
Возможные причины болевых ощущений
Боли в спине справа могут быть вызваны различными патологиями, которые человек не может диагностировать самостоятельно. Этот симптом характерен для большинства заболеваний позвоночника. Однако нельзя утверждать, что причиной ухудшения самочувствия являются только повреждения дисков и позвонков. Вдоль позвоночника находятся спинномозговые корешки, которые иннервируют не только его структуры, но и внутренние органы. Если в почках или печени происходит патологический процесс, боль может распространяться по нервным волокнам и ощущаться в спине. Такую боль называют «отраженной» или иррадиирующей.
Бытовые причины
Дискомфорт в спине справа может возникать из-за растяжения мышц при интенсивных движениях или длительном нахождении в одном положении, а также при подъеме тяжестей. Болезненность часто наблюдается после падений, ушибов или ударов. Она может стать постоянной у людей с ранее выявленными компрессионными переломами позвоночника, подвывихами позвонков или сдавлением спинного мозга. В таких случаях боли обычно слабые и возникают при резкой смене погоды, повышенных нагрузках на спину или переохлаждении.
Однако без тщательной диагностики нельзя считать такие ощущения естественными. Постоянный подъем и перенос тяжестей, а также частое нахождение в неудобных позах могут привести к микротравмированию дисков и развитию серьезных заболеваний позвоночника.
Заболевания позвоночника
Ведущий симптом всех заболеваний позвоночника — боль в спине. Появление боли справа часто связано с односторонним ущемлением нервного корешка. Это бывает при остеохондрозе шейно-грудного, грудного, поясничного и пояснично-крестцового отделов позвоночника. Особенно часто боли возникают при осложнениях, таких как протрузия, межпозвоночная грыжа, дискогенная миелопатия и корешковый синдром.
Боли с правой стороны спины могут также указывать на следующие заболевания:
- спондилоартроз — остеоартроз дугоотростчатых суставов;
- анкилозирующий спондилоартрит (болезнь Бехтерева) — хроническое системное заболевание, преимущественно поражающее крестцово-подвздошные суставы;
- радикулит — поражение корешков спинного мозга;
- ревматизм — воспалительное инфекционно-аллергическое заболевание соединительной ткани.
Повреждение дисков и позвонков, особенно сдавление спинномозговых корешков, редко проявляется четко локализованными болями. Обычно они иррадиируют в соседние участки тела, включая руки, ноги и бока.
Патологии органов пищеварения
Болезненные ощущения в поясничном и грудном отделах позвоночника часто связаны с патологиями органов пищеварительной системы. Это наблюдается при холецистите, панкреатите и воспалительных заболеваниях кишечника, включая аутоиммунные. С усилением воспалительного процесса усиливаются и боли, которые становятся острыми, опоясывающими и не проходят даже после длительного отдыха.
Если боль жгучая, пульсирующая или режущая, существует высокий риск аппендицита, особенно при нетипичном (ретроцекальном) расположении аппендикса.
Сердечно-сосудистые болезни
Боли с правой стороны спины при заболеваниях сердечно-сосудистой системы встречаются редко, но возможны. Пациенты с грудным остеохондрозом часто испытывают иррадиирующие боли в сердце. Важно отличать их от симптомов стенокардии или инфаркта миокарда, которые представляют серьезную угрозу для здоровья и жизни. Интенсивность сердечных болей уменьшается при приеме Нитроглицерина.
Болезни почек
Это распространенная причина поясничных болей, связанная с общей иннервацией позвоночных структур и органов мочевыделения. Дискомфорт в спине может сопровождать поликистоз, гидронефроз и онкологические заболевания, которые приводят к увеличению одной или обеих почек.
| Патологии почек, проявляющиеся болями в спине справа | Характерные особенности |
|---|---|
| Пиелонефрит | Основной симптом этой инфекции почек — тупые боли в поясничной области различной интенсивности, чаще односторонние, сопровождающиеся повышением температуры. |
| Гломерулонефрит | Это иммунновоспалительное заболевание почек проявляется болями в поясничной области, гипертермией, ознобом, общей слабостью, тошнотой и снижением аппетита. |
| Мочекаменная болезнь | При отхождении камня, особенно крупного, возникает сильная боль в поясничной области, не зависящая от положения тела. Если конкремент находится в нижних отделах мочеточников, боли могут иррадиировать в пах, бедра и ягодицы. |
Беременность
С 16 недели беременности матка начинает увеличиваться, что давит на правосторонние нервные окончания и вызывает «отраженные» боли в нижней части спины. Обычно они исчезают после короткого отдыха в положении лежа.
С 30 недели беременности центр тяжести смещается из-за увеличения живота. Чтобы не сутулиться при ходьбе, женщине приходится напрягать мышцы спины, что приводит к ноющим, тупым болям спустя несколько часов. Это сигнал организма о необходимости отдыха.
На поздних сроках беременности болезненность связана с выработкой релаксина, который повышает эластичность связочно-сухожильного аппарата для подготовки родовых путей. Этот гормон влияет на все связки, что вызывает боли в пояснице и крестцовом отделе.
Гинекологические причины
Тянущие, ноющие боли в пояснице могут указывать на воспалительный процесс в правой части репродуктивной системы. Такие боли наблюдаются при внематочной беременности, кисте яичника и миоме матки. Постепенно усиливающаяся болезненность характерна для опухолей половых органов и угрозы выкидыша. При жалобах на дискомфорт в пояснице всегда проводится дифференциальная диагностика для исключения гинекологических заболеваний.
Поражения органов дыхания
Одышка, боли в средней части спины, ощущение першения и «кома» в горле, а также непродуктивный кашель могут указывать как на грудной остеохондроз, так и на заболевания дыхательной системы. К последним относятся:
- Сухой плеврит — воспаление плевры, проявляющееся болями в грудной клетке, усиливающимися при дыхании и отдающими в правую сторону спины.
- Пневмоторакс — скопление газа в плевральной полости, приводящее к сдавлению сосудов средостения, нарушению дыхательных и кровообращенческих функций, а также к резкой колющей боли на стороне пораженного легкого.
- Пневмония — острое инфекционно-воспалительное поражение легких, одним из симптомов которого является иррадиирующая боль в грудной клетке.
Постоянно усиливающаяся боль с правой стороны спины может свидетельствовать об увеличении опухоли в легком, в том числе злокачественной.
В каких случаях нужно срочно обратиться за помощью
Не только острая боль должна быть сигналом для обращения к врачу. Опасность представляет и слабая болезненность, сохраняющаяся несколько дней и не исчезающая даже после длительного отдыха. Это может быть защитной реакцией организма на воспаление или дегенеративные изменения внутренних органов и позвоночника.
К врачу следует обратиться незамедлительно при наличии выраженной сопутствующей симптоматики: повышении температуры, скачках артериального давления, нарушениях зрения и слуха, головокружениях, тошноте и рвоте.
https://youtube.com/watch?v=I8hyf7g_3Yo
Что делать, если болит спина справа
Если прием у врача назначен на следующий день, а боль не утихает, можно принять таблетку любого нестероидного противовоспалительного средства (НПВС), например, Кеторола, Найза, Нурофена, Кетопрофена или Диклофенака. При легком дискомфорте достаточно использовать местные НПВС — гели Вольтарен, Фастум или Артрозилен. Запрещено применять холодовые компрессы или прогревания до выяснения причины боли в спине справа, так как это может усилить воспаление или вызвать стойкий мышечный спазм.
https://youtube.com/watch?v=EivHH5Loo64
Похожие статьи
Как забыть о болях в суставах?
- Боли в суставах ограничивают ваши движения и качество жизни.
- Вас беспокоит дискомфорт, хруст и постоянные боли.
- Возможно, вы пробовали множество лекарств, кремов и мазей.
- Но, судя по тому, что вы читаете эти строки, они не принесли значительного облегчения.
Ортопед Валентин Дикуль утверждает, что существует действительно эффективное средство от боли в суставах! Читать далее >>>
загрузка…
Источник
Иногда боль в пояснице ощущается преимущественно с правой стороны. Понимание возможных причин боли в пояснице справа и ее особенностей поможет в постановке точного диагноза и назначении эффективного лечения.
Основные причины боли в пояснице справа
Боль в пояснице справа может возникать по следующим причинам:
- Повреждение мышц, связок и сухожилий, поддерживающих позвоночник.
- Проблемы с позвоночными структурами, такими как дугоотростчатые суставы или межпозвонковые диски.
- Заболевания внутренних органов в области спины, живота и таза.
Если боль не проходит или усиливается через несколько дней, возникает внезапно и сильно выражена, или сопровождается тревожными симптомами, рекомендуется обратиться к врачу.
Чаще всего боль в пояснице связана с незначительными повреждениями мышц и связок, и организм обычно способен справиться с ними самостоятельно. Если боль сохраняется более трех дней, следует посетить врача.
Боль в пояснице справа может быть вызвана травмами позвоночных структур, таких как мышцы нижней правой части спины, межпозвонковые диски или дугоотростчатые суставы. Хотя многие проблемы с этими структурами вызывают боль в центре спины, возможно, что дискомфорт будет ощущаться преимущественно или полностью с одной стороны.
Боль в пояснице справа и растяжение мышц
Растяжение мышц — распространенная причина боли в пояснице, часто ощущаемой с правой стороны.
Типичные симптомы растяжения мышц включают:
- ограничение подвижности (боль при наклоне вперед или повороте в сторону);
- болезненность и/или опухание в пояснице справа;
- спазм мышц поясницы;
- уменьшение боли при отдыхе, например, в кресле с откидной спинкой или в кровати с подушками;
- облегчение боли при использовании холодных и горячих компрессов;
- частичное облегчение от безрецептурных обезболивающих;
- усиление боли при подъеме с кровати или из положения сидя.
Чаще всего растяжение мышц возникает из-за незначительных повреждений, например, резкого поворота при поднятии тяжелой сумки. Оно также может быть следствием спортивной травмы или автомобильной аварии.
В большинстве случаев боль при растяжении мышц утихает через несколько дней и не требует медицинского вмешательства.
Проблемы с позвоночником
Причиной боли в поясничном отделе позвоночника могут быть проблемы с его структурами, такими как дугоотростчатые суставы, межпозвонковые диски или нервные корешки, выходящие из позвоночника в каждом сегменте с правой стороны.
К распространенным проблемам, вызывающим боль в пояснице справа, относятся:
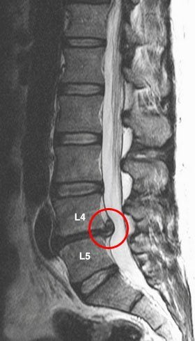
Грыжа в поясничном отделе позвоночника
Межпозвонковый диск между смежными позвонками может выпячиваться вправо. Межпозвонковая грыжа вызывает тупую, ноющую боль в пояснице из-за защемления спинно-мозгового корешка в узком фораминальном отверстии. Боль в пояснице справа может сопровождаться болями в ягодице и правой ноге, вплоть до стопы.
Проблемы с т суставами (спондилоартроз)
Скованность, дискомфорт и болезненность в нижней правой части спины могут быть симптомами артроза дугоотростчатых суставов позвоночника. В некоторых случаях костные разрастания на суставе могут защемлять нервы на правой стороне позвоночника, что приводит к боли в пояснице и местной болезненности.
Стеноз позвоночного канала
Просвет позвоночного канала может сужаться из-за межпозвонковой грыжи, костных разрастаний и других проблем. Это приводит к боли в пояснице справа, а также к корешковой боли и/или слабости в правой ягодице и ноге.
Дисфункция крестцово-подвздошного сочленения
Крестцово-подвздошное сочленение соединяет кости таза с основанием позвоночника. При избыточной или недостаточной подвижности этого сочленения может возникать боль в пояснице с правой стороны и/или в правом бедре.
Болезнь Бехтерева
Это воспалительное заболевание может начинаться в нижней части крестцово-подвздошного сочленения. Ранними симптомами болезни являются правосторонняя боль в пояснице и/или боль в правом бедре. В дальнейшем болезнь Бехтерева может привести к сращению дугоотростчатых суставов и позвонков, что ограничит подвижность позвоночника.
Лечение заболеваний позвоночника зависит от состояния и выраженности симптомов пациента. Мы считаем, что наиболее эффективен комплексный подход к лечению остеохондроза и его осложнений. Безнагрузочное вытяжение позвоночника обеспечивает наибольший клинический эффект, увеличивая расстояние между позвонками, снижая боль и улучшая питание межпозвонковых дисков. Специальная гимнастика, различные методики массажа и гирудотерапия в сочетании с вытяжением позвоночника дают хорошие результаты.
Менее распространенные причины боли в пояснице справа
Некоторые проблемы с позвоночником и болезненные состояния, которые могут привести к серьезным последствиям, также вызывают боль в пояснице справа. К ним относятся:
Дегенеративный спондилолистез
Дегенеративным спондилолистезом называют состояние, при котором верхний позвонок смещается вперед относительно нижнего из-за возрастных изменений позвоночника. Это может увеличить нагрузку на мышцы спины и сжать нервные корешки, что приводит к боли в пояснице справа и, как правило, к боли по ходу седалищного нерва — через ягодицу и/или бедро в правую ногу.
Хронические болевые синдромы
Фибромиалгия и миофасциальный болевой синдром — это хронические состояния, вызывающие скелетно-мышечную боль по всему телу, включая правую сторону поясницы. К другим симптомам относятся болезненность в триггерных точках и хроническая усталость.
Опухоль в позвоночнике
Раковые опухоли редко возникают в позвоночнике, чаще они метастазируют из других органов. Если опухоль давит на правую сторону позвоночника или сжимает нервный корешок справа, это может вызвать правостороннюю боль в пояснице.
Некоторые состояния сложнее диагностировать. Если у пациента есть хронические симптомы, которые периодически возникают или постепенно усиливаются, полезно составить подробное описание их появления и выраженности. Это поможет врачу быстрее установить диагноз и назначить соответствующее лечение.
Боль в пояснице справа, вызванная проблемами внутренних органов
Существует множество проблем с внутренними органами в средней части спины, абдоминальной и тазовой области, которые могут вызвать правостороннюю боль в пояснице. Боль может возникать из-за воспаления или раздражения органов, а также быть признаком инфекции. Обычно при таких состояниях, помимо боли в пояснице справа, наблюдаются и другие симптомы, что помогает сузить круг поиска при диагностике.
Вот несколько распространенных причин боли в пояснице справа:
Проблемы с почками
Симптомы камней в почках и инфекций почек часто схожи. Оба состояния могут вызывать одностороннюю боль в спине, дискомфорт при мочеиспускании, а также тошноту и рвоту. Затруднение мочеиспускания возникает, когда камень перемещается внутри почки, попадает в мочеточники, а затем в мочевой пузырь и мочевыводящие пути. В этом случае может наблюдаться кровь в моче. Инфекция правой почки сопровождается повышением температуры, местным воспалением и болезненностью в пояснице справа, где расположена почка.
Язвенный колит
Это воспалительное заболевание кишечника проявляется постоянным воспалением толстой кишки. Частые спазмы в животе при язвенном колите могут вызывать боль в правой части поясницы. Другие симптомы включают хронические расстройства пищеварения, такие как диарея, боль в ректальной области, потеря веса и общая слабость.
Аппендицит
Аппендикс находится в нижней правой части живота. При его воспалении, протекании или разрыве могут возникать различные симптомы, включая боль в пояснице с правой стороны. Основные признаки аппендицита — это внезапная боль в правой нижней части живота, которая может сопровождаться высокой температурой, тошнотой, рвотой и/или болью в пояснице справа.
Гинекологические проблемы
Проблемы с репродуктивными органами у женщин, расположенными в тазовой области, могут вызывать боль в пояснице справа. Например, эндометриоз — распространенное заболевание, которое может приводить к острой боли в тазу, иррадиирующей в правую поясницу. Фиброматоз, характеризующийся разрастанием ткани в матке или вокруг нее, также может вызывать правостороннюю боль в пояснице, а также аномальные менструации, учащенное мочеиспускание и дискомфорт при сексе.
Беременность
Боль в пояснице, особенно справа, часто возникает во время беременности и связана с развитием плода. Многие женщины находят полезными отдых, гимнастику и комплементарную терапию.
Воспаление желчного пузыря
Воспаление или дисфункция желчного пузыря часто вызывает сильные расстройства пищеварения, особенно после еды. Это состояние обычно приводит к боли в верхней правой части живота и в правой части спины.
Проблемы с печенью
Боль в правой части живота и спины может быть связана с проблемами печени, такими как воспаление (гепатит), абсцесс, рубцевание (цирроз) или увеличение печени. Симптомы заболеваний печени включают боль в верхней правой части живота, усталость, тошноту, отсутствие аппетита и желтуху. Проблемы с печенью встречаются редко у людей, не относящихся к группе риска.
Если есть подозрение, что указанные состояния могут вызывать боль в правой пояснице, следует незамедлительно обратиться за медицинской помощью.
Существует множество заболеваний внутренних органов, которые также могут вызывать правостороннюю боль в пояснице. Поэтому важно точно описывать свои симптомы врачу, чтобы он мог быстро поставить правильный диагноз и разработать эффективный план лечения.
Боль в пояснице справа и экстренные состояния
В некоторых случаях боль в пояснице справа может указывать на серьезные заболевания, требующие быстрой медицинской помощи. Например, она часто является симптомом следующих состояний:
Аппендицит
Это состояние возникает, когда аппендикс, расположенный в нижней правой части живота, воспаляется или разрывается. Это может вызвать резкую боль в правой нижней части живота и/или в пояснице. Симптомы могут варьироваться и включать тошноту, рвоту или высокую температуру. Они могут появиться внезапно или развиваться постепенно.
Синдром конского хвоста
Одно из самых серьезных осложнений грыжи диска поясничного отдела позвоночника. Оно возникает при больших размерах межпозвонковой грыжи или при грыже среднего размера на фоне узкого позвоночного канала. Симптомы могут проявляться внезапно или развиваться постепенно, но в итоге приводит к стойкому нарушению функции тазовых органов и/или нижних конечностей, чаще всего к парезу стопы. Состояние требует срочной, преимущественно хирургической, помощи в ограниченные сроки. Синдром конского хвоста может также быть вызван другими причинами, такими как опухоль в позвоночном канале или туберкулез позвоночника.
Аневризма брюшной аорты
Аневризма брюшной аорты проявляется увеличением или разрывом сосуда. Симптомы включают сильную, внезапную боль в животе или пояснице, а также признаки низкого давления, такие как потеря сознания и тошнота.
Остеомиелит
Остеомиелит — это инфекция позвоночника, которая проявляется сильной болью в спине и высокой температурой. Другие симптомы могут включать необъяснимую потерю веса, воспаление, покраснение или болезненность мягких тканей рядом с позвоночником.
Пациенты должны уметь распознавать, когда необходимо обратиться за медицинской помощью. Обратитесь к врачу, если боль в спине настолько сильная, что мешает выполнять обычные действия, такие как ходьба, стояние или сон. Также стоит обратиться за помощью, если сильная боль возникла внезапно и не уменьшается в состоянии покоя или после приема обезболивающих.


