Пн-пт: 07:30—19:00; сб: 08:00—17:00; вс: 09:00—15:00
whatsapp telegram vkontakte email

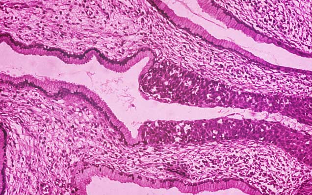
Что покажет гистология плода при замершей беременности

Представить себе лечение множества гинекологических заболеваний без гистологического исследования эндометрия на сегодняшний день невозможно. Тем не менее даже те пациентки, которые уже проходили через эту процедуру, имеют весьма скудное представление о том, что это за анализ, зачем его проводят и какой результат он дает.

Гистология – это раздел научной медицины, изучающий состояние здоровья по образцам тканей внутренних органов человека. Данный анализ тесно связан с такими разделами медицины, как – цитология – изучение на клеточном уровне, и эмбриология – изучение плода и его структуры.

Что такое гистология и в чём заключается её основной смысл?

Наука г представляет собой раздел анатомии. Он подробно изучает строение тканей человека и животного. Современная диагностика в медицине выполняет несколько важных задач:

  1. изучение причин трансформации здоровых клеток в атипичные;
  2. исследование возникновения и развития образований доброкачественного
  3. и злокачественного характера;
  4. установление методик борьбы с новообразованиями.

Что такое гистология и в чём заключается её основной смысл?
Что показывает гистология шейки матки? Данная наука тесно связана с медициной. Именно благодаря такой диагностике можно выявить развитие заболевания на ранних стадиях и определить способ лечения. Наибольшее распространение мероприятие нашло в хирургии, гинекологии, терапии.

Важно! Зачастую медики называют гистологию микроскопической анатомией. Это обусловлено тем, что изучение тканей проводится с помощью микроскопа. Изучая тонкие среды, специалист может отслеживать даже самые незначительные изменения в тканях.

Подготовка и проведение

В течение суток до назначенного теста не рекомендуется:

  • использовать вагинальные свечи;
  • употреблять какие-либо лекарственные препараты гинекологического профиля (за исключением назначенных врачом);
  • спринцеваться;
  • иметь половые контакты.

Проведение исследования невозможно в случае начала менструации.

Получение эндометрия матки для анализа может осуществляться несколькими основными способами.

  1. Эксцизионная биопсия. Производится путем иссечения небольшого количества необходимого материала во время проведения хирургической операции.
  2. Пайпель-биопсия. Основана на введении в матку именного прибора, представляющего собой тонкую пластиковую трубочку с отверстием, захватывающим ткани. Манипуляция безболезненна, проста в исполнении и довольно популярна в гинекологической практике.
  3. Пункционная биопсия. При этом используются специальные длинные иглы, позволяющие осуществить забор эндометрия и жидкостного содержимого новообразований в матке при их наличии. Чаще всего способ применяется при подозрении на злокачественные опухоли.
  4. Щипцовая биопсия. Один из наиболее частых гинекологических методов сбора материала для исследований. Производится путем скусывания медицинскими щипцами необходимого количества тканей в полости матки. Недостатком метода является избирательная прицельность взятия материала: биопсийные щипцы касаются ткани локально и слишком маленькие по размеру патологические образования (полипы) могут оказаться не в области работы щипцов. Врачу приходится выполнять несколько таких отщипываний.
  5. Аспирационная биопсия. Методика основана на отсасывании специальным электроприбором предварительно введённого в матку раствора, в котором оказываются патологические клетки. Способ позволяет получить смыв со всей поверхности эндометрия, что актуально в диагностике эндометрита.
  6. Кюретаж или выскабливание внутренних стенок матки. Проводится для сбора эндометрия с внутренней маточной поверхности, шейки матки.
  7. Иногда исследование проводится путем иссечения тканей с уже удаленных органов, например, после проведения гистероэктомии.

Чтобы получить наиболее достоверный результат, специалисту следует строго придерживаться всех правил забора тканей у пациентки.

От объёма исследуемого материала зависит и точность определения заболевания. На эффективность показателей влияет и выбранный метод сбора эндометрия матки для гистологического исследования.

Определение онкологических заболеваний

К сожалению, онкология является одним из самых распространённых патологических состояний. Заболевание не всегда является смертельным, но большинство людей страшатся услышать пугающий диагноз.

Онкологическое заболевание — это патологический процесс, который сопровождается возникновением опухоли доброкачественного или злокачественного характера.

Опухоль не появляется в каком-либо конкретном органе, она может возникнуть в любом месте. Врачи, определяя диагноз, уточняют место локализации образования, например, онкологическое заболевание печени, желудка, почек.

Заболевание нужно начинать лечить как можно раньше, и чем быстрее оно будет диагностировано, тем лучше. Если не принимать никаких мер, опухоль начнет пускать метастазы, и она быстро распространиться на соседние здоровые ткани и органы.

Что такое гистологическое исследование?

Гистология – это раздел биологии, изучающий, как в живых организмах устроены ткани. Ещё античные врачи сделали первые описания некоторых тканей. Но чтобы гистология стала одним из основных методов диагностирования заболеваний, людям потребовалось ждать изобретения микроскопа.

Микроскопия стала основным приёмом гистологических исследований. Чтобы исследовать под микроскопом строение и прочие свойства тканей, исследуемые материалы подвергаются различной, иногда очень сложной предварительной обработке.

Гистология подразделяется на:

  • нормальную, занимающуюся изучением здоровых тканей;
  • патогистологию, которая исследует изменения тканей в результате их повреждений или заболевания.

Патогистология является разделом патологической анатомии, хотя в некоторых моментах она тесно переплетается с нормальной гистологией.

Области исследования, охватываемые современной гистологией:

  • гистоморфология – изучение собственно структуры тканей;
  • гистофизиология – изучение функций тканей;
  • гистохимия – изучение химического состава тканей и распределения веществ в тканевых структурах.

Предваряет гистологическое исследование процесс приготовления гистологического препарата, который затем исследуется под оптическим или электронным микроскопом. Гистологическим препаратом называется крохотный кусочек ткани, обработанный специальным красителем, который помещается на предметное стекло микроскопа вместе с консервирующей средой и прикрывается сверху покровным стеклом. Гистологические и цитологические исследования тесно переплетены – оба метода изучают под микроскопом образцы тканей, отбираемых чаще всего методом мазка.

Особенно важны патогистологические исследования при выявлении ранних стадий онкологических заболеваний, когда ещё не сформировалась злокачественная опухоль, а есть лишь отдельные атипичные клетки.

Необходимость в анализе после выкидыша или замершей беременности

Если женщина так и не смогла родить, и произошло самопроизвольное прерывание беременности, обязательно необходимо провести тщательную диагностику. Зачастую после выкидыша врачи проводят женщине специальную чистку.

Внимание! Последствия подобного отречения могут быть очень опасными. Женщина может получить заражение, вплоть до распространения инфекционного процесса по всему организму.

Во время диагностики специалист внимательно осматривает половые органы женщины, матку и маточные трубы. Если врач находит остатки плодного яйца, необходимо обязательно проводить чистку. После выскабливания женщина некоторое время находится под наблюдением врачей, после чего она может отправляться домой.

Почему замирает беременность

По данным статистики большая часть замерших беременностей приходится на первый триместр. Если быть более точными, то проблема особенно часто дает о себе знать в период с 4 по 8 недели. Обнаружить патологию на таком раннем сроке непросто даже врачам с опытам. Дело осложняет возможное бессимптомное протекание замершей беременности, когда будущая мама не может ориентироваться на активность малыша.

***

Поставить диагноз «замершая беременность» на ранних сроках возможно только после проведения ультразвукового исследования. Первое УЗИ назначают как только беременная становится на учет. Повторно процедуру проводят на 7-8 неделе, либо при наличии жалоб со стороны пациентки.

Чем раньше получится выявить патологию при замирании беременности, тем больше шансов удалить плодное яйцо или плод до того, как он начнет отравлять организм женщины. Промедление с диагностикой может вызывать ДВС-синдром, подразумевающей сильнейшие осложнения в области способности организма к свертыванию крови. Более того, если пропустить патологию и вовремя не назначить чистку, либо медикаментозный аборт, спасение жизни женщины может оказаться под вопросом.

Каждая будущая мама должна быть ответственной и проявлять особую бдительность при малейших сигналах организма, свидетельствующих о сбоях. Повторно забеременеть после лечения замершей беременности более чем реально, а выжить и восстановиться при сильнейшей интоксикации получится не у всех.

Гистология — анализ: расшифровка

Прежде чем проводить процедуру, необходимо внимательно выслушать жалобы пациента. Результаты напрямую зависят от того, какая именно разновидность ткани была направлена на исследование.

Расшифровка достаточно сложная, и понять её может только специалист. Обычно результаты выдаются пациенту сразу после завершения исследования. Расшифровка при гистологии шейки матки состоит из следующих пунктов:

  • Личные данные пациента (имя и фамилия, адрес, контакты).
  • Способ исследования.
  • Заключение врача.

В листке обычно не указывают конкретных рекомендаций. Лечащий врач изучает результаты и сам определяет методы и продолжительность лечения, выписывает препараты, отправляет на процедуры.

Признаки заболевания при обследовании

Гистероскопия – малоинвазивная процедура. Ее проводят под местной анестезией. Пациентку не госпитализируют, процедуру выполняют амбулаторно. Проводят диагностирование после менструальных кровотечений, в этот период улучшена видимость признаков эндометрита.

На основании клинической картины гистологическое подтверждение ХЭ получают у 65–70% женщин с подозрением на воспалительные заболевания органов малого таза.

Консультация у врача Координатор ответит на все интересующие Вас вопросы и запишет на прием в удобное для Вас время.

Полость матки при хроническом эндометрите видоизменяется. Обследуя полость матки, врач видит следующие признаки заболевания:

  • неравномерность толщины слизистого слоя;
  • полипы;
  • покраснение слизистых оболочек;
  • кровоизлияния;
  • утолщенные места;
  • гипертрофию слизистого слоя.

Что показывает гистология матки?

Исследование помогает опровергнуть или подтвердить наличие доброкачественных и злокачественных образований, патологий, инфекций. В итоге можно получить следующие результаты при гистологии шейки матки:

  • ткани полностью здоровы;
  • присутствует воспалительный процесс, связанный с гормональными изменениями или наличием возбудителя;
  • незначительная степень злокачественности;
  • высокая степень развития злокачественных образований;
  • рак шейки матки.

Благодаря анализу можно точно определить степень атипии клеток, характер изменения клеток: поражение присутствует частично или занимает большую часть клеток.

Подготовка к исследованию

За 2 дня до гистологического исследования следует воздержаться от половых контактов. Туалет половых органов производить без применения косметических средств, а также исключить спринцевания и ванночки.

Применение любых лекарственных средств возможно только с позволения лечащего врача, поскольку это может повлиять на свертывание крови, а также вступить в противоречие с некоторыми лекарственными средствами, применяемыми при манипуляции.

Видео — гистология после выскабливания:

Перед гистологией врач назначает комплексное обследование:

  • мазок из влагалища на флору;
  • коагулограмма и общий анализ крови;
  • обследование на инфекции (хламидиоз, уреаплазмоз, микоплазмоз);
  • цитология;
  • анализы на гепатит, сифилис, ВИЧ;
  • кольпоскопия.

Если при этом обнаружатся воспаления или инфекции половых органов, то выскабливание откладывается до излечения.

Принцип проведения процедуры: все этапы

Процедура помогает точно изучить строение любой ткани, обнаружить отклонения.

В среднем исследование продолжается от 5 до 10 дней. Проводится гистология шейки матки по следующей инструкции:

  1. Материал обрабатывают специальной жидкостью, чтобы предотвратить естественный процесс гниения.
  2. Ткань обезвоживается.
  3. Ткань пропитывается парафином для приготовления твёрдого и плотного белка. Таким образом, можно получить качественный срез.
  4. Полученный материал с помощью специального оборудования разрезают на тончайшие пластины.
  5. Срез окрашивают специальными веществами для определения его структуры.
  6. Материал накрывают защитным стеклом, тем самым сохраняя его на длительный период времени.
  7. Полученный срез изучают под микроскопом.

Данная процедура часто проводится в гинекологии, с помощью неё изучают состояние матки, шейки матки, маточных труб, тканей плода. Диагностику можно провести при малейшем дискомфорте, неприятных ощущениях, кровотечениях, после выкидыша.

Рекомендуем прочитать: гистероскопия матки — безопасна ли процедура для здоровья женщины и что она из себя представляет?

Что значит термин «анэхогенное образование» и какую опасность оно несет для женщины? Ответ смотрите здесь.

Антибактериальный препарат Фурадонин: venerolog-ginekolog.ru/gynecology/medicament/furadonin.html

Сроки выполнения гистологического анализа

Детальное обследование образцов тканей органов, клеток – это анализ на гистологию. Разновидность выявления опасных патологий тесно связана с эмбриологией (исследованиями структуры плода) и цитологией (изучением живых) клеток. Гистологический анализ позволяет определить разнообразные отклонения в любой ткани организма.

Биопсия

Ткани для гистологии набирают посредством специальной методики – биопсии. Другими словами, у пациента будет браться микроскопический образец ткани (биоптат). Его обследуют при помощи спецоборудования. Что такое биопсия в раскрытом значении, как она осуществляется? Процедура забора материала производится с помощью длинной, тонкой иголочки, которая предназначена для внутримышечного использования.

Иногда для биопсии используется толстая пункционная иголка (процесс болезненней, но эффективнее в плане точности результата). Когда делают биопсию, то пациент испытывает слабые неприятные чувства, проходящие буквально через 15 минут. Квалифицированные специалисты всегда проводят сбор материала для анализа так, чтобы процесс прошел быстро, правильно и с минимальными болевыми ощущениями.

Изготовление препаратов

Подготовка препаратов для гистологического исследования в лаборатории представляет собой несколько этапов:

  • забор материала и его закрепление;
  • откачивание жидкости из материала, уплотнение;
  • подготовка срезов тканей;
  • окрашивание каждого препарата, помещение его в специальную консервирующую среду.

Существует несколько разновидностей препаратов для проведения гистологии:

  • срез органа (применяется чаще остальных материалов);
  • мазки (так исследуется костный мозг, кровь), отпечатки (к примеру, селезенка);
  • пленка (берется у оболочки мозга, брюшной полости), тотальный препарат.

Исследование

Есть два вида гистологического анализа, что зависит от того, как быстро нужно получить результаты исследования:

  1. Срочная диагностика подразумевает замораживание изучаемого препарата. В материале нужно будет сделать несколько срезов, которые окрасят и исследуют посредством специального оборудования (микроскопа). Такая методика нередко используется в экстремальных ситуациях, например, перед срочной операцией. На процедуру уходит около 40 минут.
  2. Плановый вариант гистологии выполняется следующим образом. Препарат помещается в консервирующий раствор, заливается парафином. На ткани делают особенные срезы, прокрашивают. Сам анализ материала выполняет специалист-патоморфолог. Иногда для планового анализа применяют гистологические стекла и блоки. Процесс подготовки препарата и его изучения занимает примерно 6-10 суток.

При заполнении листа с результатами исследования используют малопонятные обычным людям медицинские термины, причем зачастую самые неприятные вещи из этих терминов написаны на латинском.

Результаты гистологии относят гинекологу, и он на их основании поставит диагноз и назначит правильное лечение. Расшифровывать анализ самостоятельно не рекомендуется, чтобы не накручивать себе мысли о страшных болезнях.

1ginekologiya.com

Как сдают анализ крови знают все, а вот как делают гистологию, сколько она делается? Гистология может проводится несколькими способами – исследование может проводится по крови, по выделениям и непосредственно изучаться сами ткани. Гистологический мазок делается в урологии и гинекологии. Поэтому, проводится анализ может по-разному, но качество диагностики одинаково в любом случае.

Если необходимо провести исследование внутренних органов, то могут потребоваться обезболивающие препараты, безболезненные процедуры (например, мазки) проводятся без обезболивания. Некоторые виды исследования проводятся в поликлинике, другие можно сделать только в условиях стационара.

Кожа и ее производные тоже подвергаются гистологическому анализу, он показан, если на кожном покрове имеются образования (родинки и прочее). Анализ дифференцирует доброкачественные образования от злокачественных, а также определяет наличие или отсутствие воспалительного процесса.

Эндокринология в некоторых случаях также может иметь необходимость в гистологическом анализе. Эндокринная система и гистология связываются между собой в основном при наличии опухоли в эндокринных железах внутренней секреции. Гинекология, мочеполовая система, пищеварительная система, кожа – это самые распространённые примеры, где проводится гистологический анализ.

Сколько же делается анализ на гистологию? В среднем анализ занимает от недели до 10 дней после того, как образец исследования получен, однако, все зависит от того имеется ли в клинике необходимое оборудование. Так что уточнять сроки надо непосредственно в медицинском учреждении.

Существует экспресс-анализ, который делается в ходе операционного вмешательства. Если во время операции выявляются опухоли, то образец их может быть рассмотрен под микроскопом за небольшой отрезок времен. При подтверждении злокачественной опухоли, хирург принимает решение о более расширенной операции, учтивая все нюансы удаления злокачественной опухоли.

Описание результатов выдается пациенту в письменном виде, расшифровать его может только человек, имеющий медицинское образование, в результате не дается никаких рекомендаций, поэтому необходимо обратиться к врачу для расшифровки и определения дальнейших действий.

Гистологический метод исследования имеет высокую точность. Это обусловлено тем, что ткани пораженного органа изучаются под микроскопом, а не рассматриваются сквозь другие ткани и органы, как это происходит во время рентгена или ультразвукового исследования. Именно по этой причине гистологический анализ считается наиболее важным для постановки итогового диагноза.

Кроме этого, благодаря микроскопии и обязательному окрашиванию тканей пациента специалисты имеют возможность получить самые точные данные о текущем состоянии пораженного органа. Зная утвержденные стандарты структуры тканей и внутренних органов в здоровом состоянии, врач легко может провести оценку патологических изменений и оперативно установить наличие заболевания, а также его степень.

По результатам исследования специалист дает заключение. В нем может стоять ориентировочный или заключительный диагноз, а в ряде случаев дается только описательный ответ, позволяющий высказать лишь предположение о характере патологии (при недостаточности клинических сведений или материала).

Ориентировочный диагноз дает возможность определить круг заболеваний для выполнения дифференциального исследования, а заключительный ответ выступает основой для формулировки клинического диагноза.

Манипуляцию проводят в стационарных условиях. Материал для исследования отбирают методом биопсии — взятие отпечатков, мазков, пленок либо срезов тканей. Для каждого способа разработана инструкция, точное исполнение всех пунктов которой обязательно. Образец ткани фиксируют этанолом либо формалином, производят срез, окрашивают, изучают при помощи электронного микроскопа.

Чтобы проводить исследования под световым, люминесцентным, фазово-контрастным или сканирующим увеличителем, требуется сложная предварительная подготовка. Срезы тканей помещают в специализированный бальзам либо заливают парафином. Забор материала из различных органов либо текстур проводят при помощи пунктатной иглы, трепанации, либо аспирационного способа.

Отобранный материал проходит перечисленные ниже этапы обработки:

  1. Фиксация с помощью формалина либо спиртов. Белки коагулируют, ферменты инактивируются, клетка гибнет, но не распадается.
  2. Проводка. Образец обезвоживается и пропитывается парафином.
  3. Заливка. Емкость с подготавливаемым материалом наполняют жидким горячим средством, застывающим при комнатной температуре. Создается твердое образование, которое удобно разделять на тончайшие слои при помощи микротома.
  4. Резка. Для разных микроскопов рекомендуют неодинаковую толщину.
  5. Монтирование. Срез помещают на поверхность теплой воды, оттуда — на предметное стекло, во избежание складок.
  6. Окрашивание.
  7. Заключительный этап. Подготовленный срез покрывают (заключают) защитной пленкой из канадского бальзама или его аналога. Препарат можно хранить длительное время.

Сколько дней делается анализ. Это трудоемкий процесс, занимающий вместе с расшифровкой от 7 до 10 суток.

Изучая ткани, вероятно выявить не только патологический процесс в организме, но и оценить его жизнеспособность в целом, распознать слабые места, спрогнозировать будущие заболевания.

Гистология – это учение о строении и клеточном составе тканей. В гинекологии гистологическое исследование применяется для диагностики заболеваний мочеполовой системы, в том числе злокачественных образований.

цель диагностического метода – постановка достоверного морфологического диагноза, что позволяет правильно назначить курс лечения. Результат гистологии после выскабливания матки помогает распознать следующие патологические состояния:

  • болезни воспалительного характера;
  • нарушения системного кровообращения;
  • наличие кровоизлияний и тромбозов;
  • присутствие атипичных (раковых) клеток;
  • структурные мутации тканей.
  • 1 Методика
  • 2 Подготовка
  • 3 Показания
  • 4 Расшифровка

Методика

Как делают гистологию в гинекологии? Забор биоматериала чаще всего происходит непосредственно во время оперативного вмешательства, будь то выскабливание полости матки или удаление кист, опухолей, полипов.

Хирург или врач-гинеколог иссекает нужное количество тканей или же отправляет удаленный образец целиком.

Одним из наиболее достоверных и информативных способов распознать женское заболевание считается гистология.

К этому анализу прибегают после неожиданных выкидышей, при замершей беременности, когда имеются подозрения на онкологические заболевания и в других трудных случаях.

Сегодня гистология в гинекологии – незаменимое средство, позволяющее определить даже сложные патологии.

Отзывы

По отзывам пациентов, процедура переносится легко. После лечения необходимо провести дополнительное исследование, чтобы понять, насколько эффективными оказались лечебные мероприятия.

В некоторых случаях специалистам может не хватить материала, и у женщины могут повторно взять ткани для проведения гистологии. Женщины отмечают, что результаты исследования приходит быстро.

Гистология — самый эффективный метод обнаружения различных образований, заболеваний, инфекций и патологий. С помощью неё можно получить максимально точные результаты, на основе которых врач назначит грамотное лечение.

Видео: гистология матки — что это такое в гинекологии?

Понравилась статья? Подписывайтесь на обновления по RSS, или следите за обновлениями ВКонтакте, Одноклассниках, Твиттере или Google Plus.

Получайте обновления прямо на электронную почту:

Расскажите друзьям! Поделитесь статьей своим френдам в любимой социальной сети с помощью кнопок на панели.

Меры после выявления причины и исследования: как исключить ошибки в будущем

Методы лечения и реабилитации для последующего здорового зачатия и вынашивания здорового ребенка будут зависеть от результатов исследований. В случаях, когда предоставленный материал не смог дать точного ответа, назначают дополнительные диагностические процедуры:

  1. Анализ гормональной панели эндокринной и репродуктивной систем (исследуют уровень прогестерона, эстрадиола, кортизола, пролактина, ЛГ, ФСГ, Т4 и ТТГ).
  2. Анализ на ТОРЧ-инфекции. Проводят через несколько дней после чистки для получения максимально точного результата. Обострение ТОРЧ-инфекции в период беременности получится выявить только если не медлить с анализом.
  3. УЗИ половых органов с исследованием работы надпочечников и щитовидной железы, играющих не последнюю роль в выработке гормонов, необходимых для нормального развития ребенка.
  4. Иммунограмму пары. Исследование позволяет выявить или исключить иммунный фактор гибели плода на раннем сроке.
  5. Генетическое исследование пары для исключения повторения ситуации при будущей беременности.
  6. Спермограмму с посещением уролога. Назначают отцу ребенка для выявления возможных аномалий.
  7. Повторную гистологию для исключения ошибки специалистов. Проводят в альтернативной лаборатории.
  8. Исследование влагалища для идентификацией микрофлоры с дополнительной ПЦР-диагностикой.
  9. Полное исследование крови для получения показателей АЧТВ, волчаночного антикоагулянта и гемостаза фибриногена.

Кровь будущей мамы дополнительно проверяют на степень свертываемости, чтобы исключить ДВС-синдром. По результатам анализов и на основании расшифровки гистологов женщине назначают адекватное лечение на период восстановления (не менее полугода), рекомендуя предохраняться в течение всего времени реабилитации. После прохождения курса лечения пара повторно сдает анализы и переходит к планированию беременности.

Эхопризнаки гиперплазии эндометрия

УЗИ является достаточно точным способом диагностики гиперплазии. Во время проведения процедуры используется специальный датчик, который вводится внутрь влагалища. Несмотря на то, что ультразвуковое исследование может понять какой эндометрий при гиперплазии эндометрия, а если быть точнее, толщину его слоя, оно не может определить, где находятся полипы, а также очаги распространения болезни. Для этого уже нужно проводить более детальный анализ ткани слизистой оболочки матки.

УЗИ применяется не только на первых этапах, но и в дальнейшем для контроля восстановления слоя в нормальное состояние. Частота проведения процедуры составляет 1 раз в 3 месяца, чтобы замечать серьезные изменения в процессе.

Определение

Гистологическое исследование эндометрия и матки – изучение морфологического клеточного строения тех или иных тканевых образований измененного (или предположительно измененного) органа с целью установления типа патологического процесса. В ситуации, когда речь идет об исследовании репродуктивной системы, принципиальное отличие от мазка на цитологию, который также рассматривает клеточный состав, в том, что при цитологии берется только соскоб верхнего слоя слизистой, тогда как при гистологии – непосредственно кусочек ткани (то есть, процедура более травматичная).

Ее проводят пациенткам любого возраста при наличии к этому достаточных показаний. В отличие от цитологии, гистология не проводится в целях профилактики, планово. Препаратом для изучения служит фрагмент ткани части органа, содержащий в себе несколько клеточных слоев, клетки разного типа.

Его исследование проводится использованием специальных растворов и красителей, в лабораторных условиях.

Приготовления к процедуре

При приготовлении к этой процедуре нужно пройти следующие исследования:

  1. Анализ крови на заболевания, предающиеся половым путем;
  2. Исследование на степень чистоты влагалища;
  3. Цитологическое исследование, бактериологию, ПЦР;
  4. На протяжении 48 часов до вмешательства нельзя вступать в половой контакт;
  5. В течение этого же времени нельзя применять тампоны, спринцевания, вагинальные свечи, гели, кремы и т. д.;
  6. По согласованию с лечащим врачом стоит прервать прием антикоагулянтов и гормональных средств.

Правильные и полные подготовительные мероприятия перед вмешательством очень важны, так как значительно влияют на информативность и объективность полученных в ходе анализа данных.

Ссылка на основную публикацию
Похожее