Пн-пт: 07:30—19:00; сб: 08:00—17:00; вс: 09:00—15:00
whatsapp telegram vkontakte email

Какая может обнаруживаться палочковая флора в мазке?

Женщина, проявляющая заботу о своем здоровье, минимум раз в год, должна посещать гинеколога, а в идеале каждые три месяца. При осмотре врач обязательно берет материал на исследование из цервикального канала, шейки матки и влагалища, чтобы определить уровень чистоты вагины и вовремя выявить болезнь. В норме микробная флора палочковая или смешанная, где основную часть присутствующих бацилл составляют полезные лактобактерии, выглядящие как палочки с толстой стенкой и имеющие одинаковый размер.

В смешанной флоре присутствуют лактобоктерии, которые и составляют большую часть бактерий

Что такое полиморфная палочка

Бактерии существуют в различных формах. Одни имеют круглую или овальную, они называются кокки. Другие приобретают палочковидную форму, это бациллы. Третьи – существуют в виде спирали, называются спирохетами. Бактериальные формы не ограничиваются только этими 3 типами. Некоторые из них полиморфны, что означает существование в различных состояниях.

Такие бактерии не имеют определённой формы или отличаются от трёх известных стереотипных форм. Полиморфные бактерии видоизменяются, приспосабливаясь к геному человека. Полиморфная палочка, в мазке у женщин встречающаяся нередко, относится к бациллам, которые изменяют свою форму и имеют разные типы.

Как берут мазок на цитологию?

Мазок по Папаниколау проводится в условиях клиники. Женщина располагается в гинекологическом кресле. При проведении самой процедуры гинеколог забирает клетки с участка цервикального канала, со слизистой влагалища. В первом случае используют специальный зонд — эндобраш. Вводят его после небольшого расширения маточного канала путем использования расширителя. Для забора материала со стенок влагалища используется шпатель Эйра.

Когда проводится жидкостная цитология шейки, во время самой манипуляции женщина может ощущать незначительный дискомфорт, легкую болезненность. Ее появление обусловлено расширением цервикального канала, который снабжен большим количеством нервных окончаний. Продолжительность процедуры зависит от опытности гинеколога, и в среднем составляет 5-10 минут. Полученный материал помещается в пробирку с реагентом, отправляется в лабораторию.

Патогенное воздействие полиморфной палочки

Нормальная микрофлора женского организма – это качественное и количественное соотношение микробных популяций, которые колонизировали определённую систему организма. Колонии бактерий участвуют в поддержании здоровья. Когда начинают преобладать патогенные микроорганизмы, нарушается баланс микрофлоры. Среди патогенов есть как палочковые формы, так и кокки.

В статье описаны причины появления полиморфной палочки в мазке у женщин.

Влагалище женщины имеет кислую среду, потому что в ней содержится много молочной кислоты, вырабатываемой под воздействием эстрогена. Около 97% бактерий, населяющих микрофлору, относятся к молочно-кислым бактериям. Одновременно в микрофлоре присутствуют условно-патогенные организмы, кокки, палочки, бациллы.

Их количество не должно в норме превышать 10,3 КОЕ/мл. Превышение этого параметра говорит о начавшемся бактериальном заболевании. Увеличение кокков сопровождается разрастанием другой условно-патогенной формы – полиморфной палочки.

Медикаментозная терапия

Медикаментозное лечение может быть представлено следующими препаратами:

  • Свечи и мази «Пимафуцин».
  • Вагинальные таблетки и свечи «Тержинан». Борются с воспалительным процессом, вызываемым им зудом.
  • Антибиотики «Цефиксин» и «Цефтриаксон». Подавляют метаболизм у патогенных микроорганизмов, снимают раздражение слизистой оболочки.
  • «Клиндамицин» и «Флуконазол». Лекарства, которые назначаются врачом при выявлении грибковой инфекции.

Отметим, что подходящие пациенту препараты, их дозировку, время, периодичность применения может назначить только лечащий доктор!

Вместе с приемом лекарств необходимо придерживаться и специальной диеты. В ней должно быть как можно больше кисломолочной продукции, минимальное количество сладкого и мучного.

О чем говорят изменения показателей

Обеспечение надлежащего выполнения органами репродуктивной системы своих функций зависит от наличия грамположительных палочек во влагалище. При установлении достаточного количества этих палочек в мазке для беспокойства нет причин.

Если же их количество отличается от рекомендуемой нормы, речь, скорее всего, идет о патологиях в женском организме.

Для установления окончательного диагноза понадобится оценка лактобацилл и лейкоцитов.

При наличии воспалительных очагов во влагалище при изучении материала наблюдается снижение количества грамположительных палочек, рост лейкоцитов от 10 до 30. Тогда специалисты диагностируют флору смешанного характера.

При обнаружении единичных лейкоцитов на фоне достаточного присутствия палочек Дедерлайна устанавливают скудную и благоприятную микрофлору, которая способна противостоять болезнетворным микроорганизмам.

При этом во многих случаях в женском влагалище может обильно выделяться слизь, а при исследовании не исключено обнаружение полиморфных палочек.

Скудность грамположительной флоры на фоне преобладания патогенных мелких палочек свидетельствует о сильном ослаблении иммунной защиты, которая не справляется с возбудителями заболеваний органов мочеполовой системы.

Такое состояние нуждается в коррекции микрофлоры, выявлении и устранении причин изменений.

Полезные и вредные палочки

Расшифровка анализов помогает выявить, какие полезные и вредные палочки обитают в репродуктивной системе женщины.

При необходимости для определения каждого конкретного вида палочки могут делаться разные анализы. Но есть несколько палочек, которые в любом случае должны обнаруживаться.

Опасной считается мелкая палочковая флора во влагалище женщины. Она указывает на то, что в мазке могут находиться грамотрицательные вредные бактерии, которые сильно снижают иммунитет и не дают организму бороться даже с самыми незначительными заболеваниями.

Если мелкая флора палочковая обильная, это является тревожным сигналом. Врач должен обязательно назначить комплексное лечение специальными препаратами, которые смогут восстановить нормальную микрофлору во влагалище. Мелкопалочковая флора может также указывать на наличие таких заболеваний, как гарднереллез или дисбактериоз. Тогда лечение должно проходить по строгой схеме, которая разрабатывается лечащим врачом.

Наибольшая опасность состоит в том, что флора смешанная с преобладанием палочек мелких может со временем уничтожить полезную флору влагалища. И тогда довольно сложно будет избежать осложнений, которые могут привести даже к бесплодию.

Полезными считаются крупные грамположительные палочки Дедерлейна. Они должны в достаточном количестве находиться в мазке каждой здоровой женщины. Эти неподвижные бактерии создают во влагалище кислую среду, которая влияет на процесс оплодотворения.

Суть состоит в том, что в кислой среде погибают ослабленные сперматозоиды, в то время как активные и пригодные для образования зиготы клетки остаются и проходят дальше к матке. За счет этого риск рождения слабого и больного ребенка уменьшается в несколько раз.

Грамположительные палочки Дедерлайна отвечают за чистоту половых путей, а также могут уничтожать возбудителей трихомониаза и гонореи. Они выделяют вещество, сходное с перекисью водорода, которое является природным антисептиком в женской половой сфере.

Норма таких палочек в женском организме определяется врачом. Достаточное количество таких бактерий говорит о здоровье женщины. А вот в том случае, если палочек очень мало, это может указывать на патологические процессы в женском организме.

Для определения нормативного значения палочек Дедерлайна берется во внимание не только их количество, но еще и наличие лейкоцитов и лактобацилл.

  1. Так, если наблюдается от 10 до 30 лейкоцитов, во флоре есть и кокки, и палочки, но при этом палочек Дедерлайна мало, то флора считается смешанной. Она наблюдается у женщин, которые ведут регулярную половую жизнь. Смешанная флора может быть и у девочек подросткового возраста. В остальных случаях смешанная флора может свидетельствовать о воспалительном процессе во влагалище.
  2. Если в мазке наблюдаются только единичные лейкоциты, но при этом есть большое количество палочек Дедерлайна, то микрофлора во влагалище бедная и благоприятная. Она наблюдается у полностью здоровых женщин и девушек, организмы которых отлично справляются с болезнетворными бактериями.
  3. Если количество палочек Дедерлайна среднее, лейкоцитов около 10, а лактобацилл много, то это свидетельствует о средней флоре во влагалище. У некоторых женщин во влагалище может наблюдаться большое количество слизи, много кокков. Лактобациллы при этом отсутствуют, в мазке на флору может обнаруживаться полиморфная палочка.

Тревожные признаки

Неблагоприятная бациллярная флора в мазке у женщины может выявиться только в результате обследования. Но в некоторых случаях все же можно у себя заподозрить это. На гинекологическое заболевание может указывать несколько симптомов.

  1. Зуд и болевые ощущения в области половых органов, которые усиливаются в момент половой близости, могут свидетельствовать о вагинозе. Но в некоторых случаях эти симптомы проявляются по причине недостаточной интимной гигиены. Если же на самом деле имеется заболевание, то добавляются еще другие признаки.
  2. Из влагалища выделяется большое количество слизи с кисловатым запахом. Часто она напоминает прокисшее молоко. Цвет слизи может быть белым или желтоватым, но никак не прозрачным. Иногда все может сопровождаться незначительными болями внизу живота.

Все эти признаки в комплексе говорят о том, что у женщины бактериальный вагиноз (молочница). Если вовремя не начать лечение, которое на начальной стадии всегда быстрое и эффективное, то выделения могут приобрести творожистую консистенцию, количество их увеличится. Запах при этом станет более резким и неприятным и будет заметен даже находящимся рядом людям.

Итак, для точного определения палочки в мазке нужно обязательно сдать анализы. Только так можно будет вовремя обнаружить некоторые опасные заболевания и начать лечение. Ведь гинекологические болезни нередко дают о себе знать только тогда, когда уже находятся в запущенной стадии. Своевременное исследование флоры на палочку является хорошей профилактикой женских заболеваний.

Полиморфность

Если определяется в мазке мелкопалочковая флора, это говорит о насыщении организма грамотрицательными бактериями. Они входят в группу полиморфно-палочковой флоры и отличаются от полезных микроорганизмов меньшим размером. Эти представители выступают в качестве условно-патогенных бактерий.

Их присутствие в незначительном количестве не считается опасным состоянием для организма, пока не начнут возникать предрасполагающие факторы, среди которых сопутствующее заболевание, снижение иммунитета, несоблюдение правил интимной и личной гигиены. В таких условиях полиморфно-палочковая флора в мазке начнет становиться опасной, стремительно увеличит свою численность.

Воздействующие факторы на влагалищную микрофлору

После практически полного подавления способности лактобактерий бороться с условно-патогенными и патогенными микроорганизмами, последние станут сильнее, на фоне чего однозначно будут развиваться заболевания, вплоть до появления дисбактериоза и воспалительных процессов.

Отвечая на вопрос, полиморфно-палочковая флора, что это, необходимо сказать, что это условно-патогенные представители бактерий, которые при появлении благоприятных обстоятельств будут преобладать в составе микрофлоре и выступят в качестве основной причины развития заболевания.

Диагностика полиморфной палочки

Полиморфная палочка в мазке у женщины определяется с помощью бактериологического анализа. Для проведения диагностики сдают мазок на микрофлору. С помощью мазка трудно определить конкретный вид бактерий, которые преобладают в микрофлоре.

Для этого и проводится бактериологический посев, на основе которого не только определяют вид поселившейся бактерии, но и определяют чувствительность её к антибиотикам. Полученные результаты дают возможность врачу диагностировать гинекологические заболевания: кольпит, вагиноз. Часто большое скопление полиморфных палочек указывает на развитие вагинального дисбактериоза.

Степень чистоты

Как показывает медицинская практика, в большинстве случаев исследование мазка на микрофлору проводится микроскопическим методом. Именно он позволяет установить, имеются ли палочки в мазке, норма у женщин, содержание полезных бактерий и прочих представителей микрофлоры.

Первая степень чистоты определяется у совершенно здоровых представительниц женского пола. В этом случае визуально определяются палочки в мазке. Флора в большом количестве содержит естественные бактерии.

Флора палочковая умеренная в мазке определяется как вторая степень чистоты. Ее также определяют у здоровых пациенток. Единственным отличием является лишь то, что среди нормальных полезных бактерий еще имеются единичные кокки.

Это состояние считается нормальным и диагностируется у большого числа пациенток. В случае отсутствия неприятной симптоматики, не требует проведения лечения.

Если врач диагностирует третью степень чистоты, то палочковидная флора в мазке имеет не совсем хорошее состояние. Полезных бактерий здесь очень мало, а при рассмотрении отмечается преобладание кокков в биологическом материале.

Когда выявляется обильная палочковая флора в мазке, что это такое, может рассказать врач. Нередко при таком состоянии специалисты выявляют четвертую степень чистоты влагалища, со средой, густонаселенной кокковой инфекцией.

Также в биоматериале отмечается много эпителиальных клеток, повышается объем выделений. Все это позволяет врачу выставить диагноз бактериальный кольпит.

Стоит сказать, что если был проведен мазок на флору, полочки типа полезных бактерий в котором не были обнаружены, и установлена четвертая степень чистоты, необходимо будет сделать кольпоскопию.

Диагностические мероприятия

При обнаружении в мазке кокков, мелкой палочки, большого количества лейкоцитов для определения причин изменений, постановки диагноза и назначения лечения нужны дополнительные исследования.

Речь идет о:

    бактериологических исследованиях, направленных на выращивание бактерий в питательной среде для выявления возбудителей заболевания, которые при мазке на микрофлору могут быть не обнаружены;

ДНК-диагностике (ПЦР), среди методов которой — полимеразная цепная реакция. Метод выявления патогенной микрофлоры и возбудителей заболеваний высокочувствительный.

При ПЦР удается выявить возбудителей самых распространенных заболеваний органов репродуктивной системы: трихомониаза, хламидиоза, уреа- и микоплазмы, генитального герпеса.

Вагинит Просматривается увеличенное количество макрофагов, лейкоцитов, имеются гонококки, споры, мицелий. Неспецифический или микотический вагинит, гонорея.
  • Серологическим методом выявления антител к возбудителям инфекционных заболеваний в крови.

Причины

Кокки в мазке появляются из-за венерических заболеваний (трихомониаза, хламидиоза и т. д.). Их наличие, свидетельствует о нарушении работы эндокринных органов, аллергии, приеме антибиотиков, нарушении личной гигиены. А также к нарушению микрофлоры у мужчин приводит понижение иммунных функций организма, частая смена половых партнерш, незащищенные половые контакты, травмы, хирургические вмешательства на органах малого таза, через которые проникают бактерии.

При мелких повышениях кокковой флоры, мужчина может не знать о статусе переносчика заболевания из-за отсутствия симптомов.

Профилактика появления полиморфной палочки

Чтобы избежать расстройства микрофлоры:

  • Следует не пользоваться ароматизированными средствами интимной гигиены, антибактериальным мылом.
  • Стараться как можно чаще менять прокладки, тампоны, не оставлять их во влагалище на весь день.
  • Секс должен быть защищённый, снизить число случайных половых контактов.
  • При покупке нижнего белья отдать предпочтение изделиям из хлопка, для доступа воздуха к наружным половым органам.
  • Включить в рацион кисломолочные продукты, свежие фрукты и овощи. Ограничить сладости, сахара, потому что они не способствуют формированию нормальной микрофлоры влагалища, устойчивой к развитию вагинитов.

Норма

Здоровая микрофлора мочеполовой системы – это присутствие нескольких лейкоцитов и палочковая флора. Основу составляют грамположительные палочки или палочки Дедерлейна. Они должны присутствовать в большом количестве.

Таблица «Референсные значения мазка на флору»

Показатели Норма, количество клеток в поле зрения
Влагалище и уретра Цервикальный канал
Плоский эпителий (выстилает внутренние стенки влагалища и шейки матки) 5–15
Лейкоциты (защитные клетки, отвечающие за фагоцитоз – ликвидацию патогенных бактерий) – 3–12 (при беременности норма до 35) 3–30
Лактобациллы (палочки Дедерлейна) – обеспечивают здоровую кислую среду, в которой не могут жить патогенные микроорганизмы Большое количество Нет
Слизь (результат работы секретных желёз) Умеренное количество

Методы лечения полиморфной палочки

Для коррекции микрофлоры следует установить первопричину возникновения дисбиоза. Если не планируется беременность, гинекологическая операция, то можно обойтись без лекарственных препаратов, ожидая, пока равновесие не восстановится самостоятельно. При наличии отягчающих симптомов требуется медикаментозное лечение.

Полиморфная палочка, размножившаяся в микрофлоре, о чём свидетельствует мазок, взятый у женщины, лечится в 2 этапа.

Вначале предполагается применение антибактериальных и антисептических препаратов, которые подавляют размножение патогенов. На 2 этапе – используются препараты, восстанавливающие микрофлору. Между 1 и 2 этапом лечения назначаются лекарства, разрушающие биоплёнку, которую создают патогены для снижения активности клеток, защищающих организм.

Терапия антибактериальными препаратами имеет побочные эффекты в виде гибели естественной флоры и не всегда эффективна, вследствие того, что патогенные организмы принимают разнообразные формы. Многие бактерии имеют повышенное противодействие ко многим препаратам.

Лекарственные препараты

Антибактериальные препараты:

  • Метронидазол. Препарат принимают после еды, дважды в день, по 2 таб. Лечение проводится в течение 10 дней. Одновременно с таблетками рекомендовано использовать интравагинальные свечи. Утром и вечером применять по суппозиторию. Терапию свечами проводится в начале менструального цикла. Цена препарата: 10–30 руб.
  • Атрикан. Принимается таблетки внутрь во время еды, по 1 капсуле 2 раза в день, утром и вечером. Лечение продолжается 4 дня. Не рекомендуется увеличивать дозы. Цена препарата 2—–300 руб.
  • Орнидазол. Вагинальные таблетки применяются по 1 шт. ежедневно перед сном, в течение 5 суток, при трихомониазе. Для лечения вагинитов вводят глубоко во влагалище по 1 шт. перед сном, на протяжении 7 суток. Препарат стоит от 70 руб.
  • Клиндамицин. Применяется в виде свечей, курс лечения составляет 3 дня, вводят суппозитории по 1 шт. на ночь. Препарат имеет много побочных эффектов, применение необходимо согласовать с врачом. Цена препарата от 300 до 500 руб.

Лекарства на основе лактобактерий улучшают действие антибактериальной терапии:

  • Вагилак. Капсулы применяют по 1 в день во время еды. Улучшение наступает через 2 недели.
  • Лактожиналь. С лечебной целью применяется 7 дней по 1 свече вагинальной 2 раза в день. Для профилактики принимают по 1 свече 1 раз в день.
  • Гинофлор. Препарат применяется в период менопаузы, по 1–2 таблетки интравагинально, в течение 12 дней.
  • Триожиналь. Принимается интравагинально по 1 капсуле утром и вечером, в течение 2 недель.

Препарат, разрушающий бактериальную биоплёнку:

  • Вагинорм-С. Таблетки вагинальные, принимаются ежедневно, по 1 шт., в течение двух недель.

Прочие методы

Лечение предусматривает применение биопрепаратов, восстанавливающих биоценоз вагинальной микрофлоры.

Это препараты зубиотики:

  • Ацилакт;
  • Лактобактерин;
  • Бифидин;
  • Бифидумбактерин.

Народные методы

Полиморфная палочка в мазке у женщин, обнаруженная во время посещения врача, может быть признаком вагинального дисбактериоза, который лечится домашними средствами.

Лечение с помощью тампонов:

  • Хорошо смочить тампон в натуральном молоке или йогурте.
  • Вставить его во влагалище, продвигая как можно дальше и оставить на несколько часов.
  • Для смачивания можно приготовить смесь, состоящую из молока и порошка куркумы, из расчёта 1 ч. л. порошка на 200 мл тёплого молока.
  • Пропитать тампон раствором, состоящим из 3% перекиси водорода, разбавленного в равных количествах водой. Тампон вставляется во влагалище на 30 мин.
  • Кокосовое масло обладает профилактическим и антибактериальным свойством. Им также можно смачивать тампон для проведения гигиенической процедуры и оставить во влагалище на 2 часа.

Яблочный уксус является хорошим восстановителем рН среды. Его можно добавить в тёплую ванну для купания и посидеть в ней 30 мин.

Травы, обладающие лечебными свойствами:

  • донник;
  • полынь;
  • крапива;
  • чистотел;
  • чабрец.

Настои из трав используют для спринцевания, примочек, ванночек.

Профилактические меры

Если схемы лечения индивидуальны для каждого пациента, то профилактика едина для всех:

  • Соблюдение элементарных правил личной гигиены. В частности, подмывание половых органов не менее одного раза в день.
  • Женщинам во время подобных водных процедур советуется использовать специальные моющие средства, поддерживающие благотворную кислую среду влагалища. Ее нарушение ведет к снижению местного иммунитета.
  • Женщины должны избегать спринцеваний, которые вымывают полезную микрофлору. Исключение — если подобную процедуру прописал лечащий доктор.
  • Ношение ежедневных прокладок, стрингов нужно свести к минимуму. Они повышают риск развития вредной и условно-патогенной микрофлоры.
  • Избирательное отношение к половым партнерам, использование контрацептивов и иных средств, призванных обезопасить от половых инфекций.
  • Укрепление иммунитета — местного и общего, правильный режим дня, достаточный сон, полноценный рацион. Важно также оберегать себя от стрессовых ситуаций.

Полиморфные палочки, найденные в мазке в большом количестве, сами по себе не говорят о заболевании. Важным показателем является их патогенность, которая выявляется специалистом по ряду дополнительных факторов. При диагностике заболевания пациенту прописывается индивидуальное лечение.

Source: fb.ru

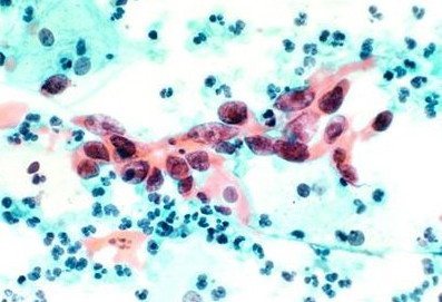
Пап-тест или мазок шейки матки

Пап-тест, тест Паппаниколау, цитологическое исследование мазков из шейки матки и цервикального канала — высокоинформативный тест для диагностики фоновых, предопухолевых и опухолевых форм заболеваний.

В норме в материале с поверхности шейки матки — клеточный состав соответствует физиологическому состоянию эпителия шейки матки здоровой женщины (в зависимости от возраста, дня менструального цикла, наличие беременности ), преимущественно поверхностные и промежуточные клетки для женщин репродуктивного возраста.

Пап-тест применяют для обнаружения атипичных клеток.

Микроскопическое исследование препаратов, окрашенных по Папенгейму и Папаниколау.

— клетки поверхностного слоя,

— клетки промежуточного слоя,

— клетки базально-парабазального слоя.

Клеточный состав мазка шейки матки зависит от наличия/отсутствия менструального цикла и его фазы, возраста женщины, срока беременности.

Забор материала осуществляют путем соскоба с поверхности шейки матки при помощи шпателя; из цервикального канала — специальными щеточками. Препарат на стекле маркируется буквами Ш (материал из шейки матки) и Ц (материал из цервикального канала).

Стекла с мазками для Пап-теста необходимо сразу же фиксировать в 96% спирте или в смеси частей 96% спирта и эфира (смесь Никифорова). В фиксаторе препараты могут находиться от 10-15 минут до 24 часов.

У женщин репродуктивного возраста необходимо брать мазки для Пап-теста не ранее, чем на 5-й день менструального цикла и не позднее, чем за 5 дней до предполагаемого начала менструации.

Не следует осуществлять забор клеточного материала для исследования в течение 24 часов после полового акта, санации влагалища, введения во влагалище медицинских препаратов.

Качество мазков из шейки матки значительно ухудшается, если мазки берут в течении суток после введения во влагалище медикаментов, половых отношений, спринцеваний.

Расшифровка анализа

Тип I цитограмма, Пап-тест без особенностей

Тип II воспалительный процесс, гиперплазия и пролиферация железистого эпителия

Тип III дисплазия шейки матки (слабая, умеренная, выраженная)

Тип IV подозрение на рак шейки матки

Возможные осложнения

Образование больших колоний патогенных бактерий во влагалище грозит воспалением влагалищных стенок, шейки матки. Со временем бактерии проникнут в саму матку, что приведёт к развитию эндометрита, аднексита. Воспаление может затронуть мочеиспускательный канал и мочевой пузырь.

Скопление бактерий, пониженная готовность организма сопротивлению, приводит к половым инфекциям: вирусу герпеса, гонококкам, хламидиям.

Нарушение нормальной микрофлоры у женщин, одной из причин которой является полиморфная палочка, обнаруженная в мазке, совсем не безобидное заболевание. Не следует откладывать визит к врачу, потому что дисбиоз влагалища ведёт к серьёзным проблемам.

Автор: Беляева Анна

Норма и патология при беременности

За весь период беременности делается три раза, во время скрининговых обследований: в момент постановки на учет, на 30-й неделе и перед предполагаемой датой родов.

Анализ проводится с целью профилактики заболеваний половой сферы, которые могут осложнить роды или стать причиной заболеваний у новорожденного.

Показатели мазка беременной женщины отличаются от мазков небеременной количественным составом флоры.

Для рождения здорового ребенка микрофлору нужно привести в норму еще на этапе планирования. В целях профилактики гинекологических заболеваний беременная должна сдавать мазок 3 раза: при постановке на учет, на 30 и 38 неделе.

Важно. При изменении характера выделений необходимо срочно обратиться к гинекологу.

Состав микрофлоры беременной отличается от нормальных показателей здоровой женщины. Отличия следующие:

  • Количество грамположительных палочек возрастает в десятки раз, соответственно увеличивается кислотность влагалища. Такие изменения нужны для защиты от инфекций. Лактобактерии подавляют рост патогенных микроорганизмов, которые погибают в кислой среде. Норма грамположительных бактерий во влагалище – до 20, в уретре – до 5, в шейке матки – не более 30.
  • Возрастает число эпителиальных клеток. Они являются пищей для лактобактерий.

Остальные показатели не отличаются от нормы. В мазке должны отсутствовать дрожжи, кокки, трихомонады и другие патогенные инфекции.

Они вызывают воспаление, могут стать причиной инфицирования плода и выкидыша. Именно поэтому до наступления беременности важно нормализовать состояние микрофлоры и вылечить все болезни.

Ссылка на основную публикацию
Похожее