Шейка плеча — это проксимальная часть кости, на которую приходится около 6% всех переломов скелета у пациентов среднего и молодого возраста. Почти 50% суставных травм у пожилых людей связано с этой структурой. В 75% случаев переломы шейки плеча происходят у людей старше 60 лет. Женщины травмируются в два раза чаще, что связано с остеопорозом в постменопаузе. Проксимальная часть кости имеет тонкий кортикальный слой из-за возраста. В области хирургической шейки происходит переход к головке, где крепятся связки и мускулатура.
Виды переломов и симптомы
Основной механизм повреждения — падение на локоть или с опорой на вытянутую руку. Конечность может быть отведена, приведена или находиться в нейтральном положении при приземлении. При столкновении с поверхностью плечо выворачивается и отклоняется назад. Ударная сила смещает головку к суставной ямке, и она ударяется о лопатку или акромиальный отросток. В зависимости от положения руки различают три типа перелома: вколоченный, абдукционный и аддукционный.
Вколоченный перелом
При вколоченных переломах шейки плеча рука остается в нейтральной позиции. Под действием внешней силы нижний фрагмент плечевого диафиза внедряется в верхний, образуя поперечное повреждение. В продольном направлении отломки могут не смещаться, но чаще они открываются под углом кзади.
Аддукционный перелом
Повреждение возникает при аддукционном переломе плечевой кости. Эта травма часто осложняется смещением отломков. Центральный фрагмент отводится и разворачивается наружу, а периферический смещается вверх, наружу или вперед, также разворачиваясь. Угол между фрагментами открывается назад и внутрь. Приводящий перелом может быть вколоченным, когда тело кости внедряется в плечевую головку. Реже отломки полностью разъединяются и смещаются относительно друг друга.
Абдукционный перелом
По названию можно определить механизм повреждения: плечевая кость при приземлении находилась в отведении от туловища. Центральный отломок разворачивается внутрь и приводится, а периферический — вращается медиально, сдвигаясь вперед и вверх. Угол между фрагментами открывается назад и наружу. Внешний край кости может входить в головку, образуя вклиненный перелом. Без внедрения отломки смещаются и разъединяются. Травмы отводящего типа встречаются наиболее часто.
Частые причины
В 90% случаев перелом хирургической шейки плечевой кости возникает из-за падения с высоты собственного роста. Чаще всего травмируются пожилые люди. У молодых пациентов основными причинами являются ДТП и падения во время занятий спортом.
Внутрисуставные травмы анатомической шейки встречаются редко и преимущественно у пожилых. Чаще перелом проходит через бугорки или под бугорками плечевой кости. Эти повреждения объединяются в группу переломов хирургической шейки плеча.
Считается, что при травме происходит вывих головки, а плечевая кость ломается под воздействием подмышечной тяги и удара, а также из-за контузии о край впадины.
Диагностика
Закрытый перелом сложно распознать при незначительном смещении фрагментов. Пациенты обычно жалуются на:
- боль, усиливающуюся при движении;
- припухлость и кровоподтеки;
- смещение оси плечевого сустава;
- отставание локтя от туловища.
Контуры сустава, как правило, сохраняются. Травматолог ощупывает плечо, и при нажатии на проксимальный конец кости возникает боль. Легкие удары по локтю в направлении плеча также усиливают болезненность. Аддукционные переломы легче выявить визуально при смещенных фрагментах: снаружи и спереди образуется выступ, а со стороны подмышечной линии — острый край. Абдукционные переломы внешне напоминают вывих сустава, так как плечо выглядит западенным. Активные движения невозможны, а при попытке их выполнить слышен хруст. Если отломки разъединились, плечевой кости происходит разворот при неподвижной головке.
Вколоченные переломы сложнее диагностировать, так как симптомы выражены слабо: наблюдаются припухлость, боль при нажатии и поколачивании по локтю. Переломы без смещения проявляются при осевой нагрузке и развороте, ограничивая функцию. При разделении отломков нормальные движения резко ограничены, отмечается патологическая подвижность внутри сустава.
При переломах хирургической шейки может повреждаться подмышечный нерв отломками в подмышечной впадине. Осложнение проявляется отечностью, венозным застоем, нарушением чувствительности и свисанием верхней конечности.
При подозрении на повреждение шейки плеча проводят рентгенологическое обследование для исключения вывиха, ушиба и растяжения. Снимки делают в переднезадней и аксиальной проекциях для выявления смещений и их углов.
Первая помощь
Доврачебная помощь включает обеспечение покоя пострадавшему, усаживание его с опорой для плеча. При кровотечении накладывают жгут выше места повреждения.
Неотложная помощь включает:
- Введение 1% раствора новокаина в гематому (при отсутствии аллергии) и пункцию сустава при гемартрозе.
- Назначение седативных средств и наркотических анальгетиков при сильной боли.
- Иммобилизацию плеча и сустава с помощью валика в подмышечной впадине, фиксацию руки косыночной повязкой или повязкой Дезо.
- Закрытие раневой поверхности асептической повязкой до фиксации плеча, пережатие плечевой артерии или наложение жгута.
Не следует смещать костные отломки или самостоятельно пережимать рану.
К какому врачу обратиться
Пострадавшего госпитализируют в травматологическое отделение. Врач осматривает плечо и проводит тесты. При переломе шейки плечевой кости отсутствует характерное пружинистое сопротивление движению, как при вывихах.
Плечо обезболивают, выполняют закрытую репозицию и фиксируют лонгетой или торакобрахиальной повязкой. Обязательно контролируют положение костей с помощью рентгенографии, когда гипс высыхает и через 7 дней.
Лечение
Пожилым пациентам с вколоченными переломами не проводят вправления. Репозиция показана при значительном угловом смещении, если состояние здоровья позволяет.
Вправление не требуется в следующих случаях: при невколоченном переломе, небольшом смещении при абдукционном переломе и наличии осколков головки плеча. Несращение у молодых пациентов фиксируется редко, если фрагменты полностью разъедены и мягкие ткани повреждены.
Молодым людям необходима репозиция даже при умеренном смещении и образовании угла. Это особенно важно для аддукционных переломов, неправильное сращение которых может нарушить функциональность сустава.
Вколоченные переломы без признаков смещения
Вколоченные переломы лечатся косыночной повязкой, если фрагменты не смещены. Руку, согнутую в локте под углом 60 градусов, подвешивают свободно. Плечо обезболивают для расслабления мускулатуры и восстановления оси плечевой кости. Лечебная гимнастика начинается со второго дня. С пятого дня разрешены суставные движения в облегченном положении — наклоне вперед. Допускаются маятниковые покачивания, приводка и отводка плеча с постепенным увеличением амплитуды.
Для фиксации руки используют ватно-марлевую косынку, а в подмышечной впадине располагают валик или подушку. Проводится массаж выше места перелома для улучшения лимфатического и венозного оттока, а также физиотерапевтические процедуры для снятия спазма и боли.
Переломы хирургической шейки плеча со смещением
Репозиция отломков проводится двумя травматологами. Руку, согнутую в плече на 30–45 градусов, отводят в сторону на 90 градусов, а локоть сгибают на 90 градусов. Плечо разворачивают наружу на 90 градусов и вытягивают кость по суставной оси.
Для выполнения тяги стопу ставят в упор возле подмышки пациента. Травматолог вправляет отломки в месте перелома. Для фиксации совмещенных фрагментов используют торакобрахиальную повязку. Плечо остается отведенным на 90 градусов, предплечье сгибается на 90 градусов, а кисть разогнута на 160 градусов. При аддукционных переломах сначала вправляют угловое смещение, затем совмещают кости аналогичным образом.
При отводящих переломах применяют шины, чрезкожное или скелетное вытяжение конечности. Шину устанавливают для совмещения центрального и периферического фрагментов и полного выравнивания суставной оси. Без вытяжения функция отведения плеча нарушается.
Хирургическое лечение
Оперативное лечение проводится с использованием артроскопа и включает 2–3 разреза. Показания для операции возникают при невозможности репозиции:
- значительное смещение отломков;
- вклинение трубчатой кости в головку;
- разворот хрящевой поверхности головки наружу и нарушение суставной конгруэнтности.
Операция показана при переломовывихах головки плеча, особенно при абдукционных вколоченных переломах шейки плеча со смещением большого бугорка, что нарушает функцию мышц. Раздробленная головка плечевой кости также требует хирургического вмешательства.
Для фиксации фрагментов применяют накостный остеосинтез или чрезкожную компрессию с помощью аппарата Илизарова. При отрыве большого бугорка используется фиксация шурупом или проволокой.
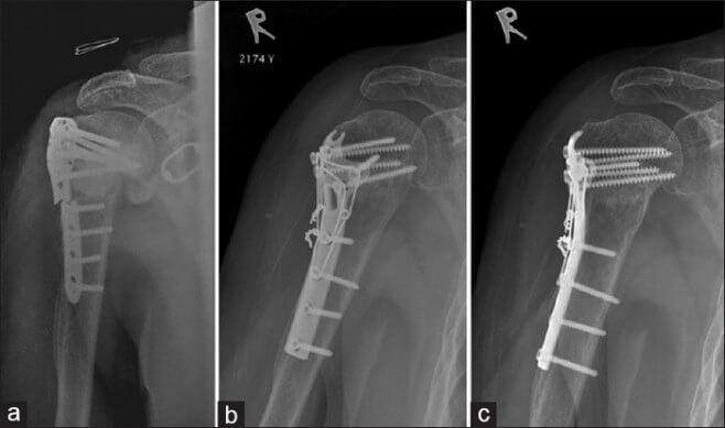
Во время операции разрез выполняется от акромиально-ключичного сустава вдоль дельтовидно-грудной борозды вниз к большой грудной мышце. Чаще всего применяют погружной остеосинтез с винтами, Т-образными и угловыми пластинами, а также фиксаторами с термомеханической памятью формы.
Эндопротезирование плечевого сустава
Показания для замены плечевого сустава эндопротезом после перелома включают:
- передние и задние переломо-вывихи;
- раздробление головки;
- импрессионные переломы;
- переломы суставной впадины лопатки с осколками.
В зависимости от степени повреждения костей и суставных поверхностей используются различные виды протезов. Поверхностное эндопротезирование предполагает замену головки плеча. Однополюсное протезирование может включать замену головки или суставной впадины лопатки.
Тотальное эндопротезирование выполняется при поражении как плечевой кости, так и суставной впадины. Протезы бывают анатомическими, повторяющими формы костей, и обратными. Реверсивные протезы применяются при нарушении функции вращательной манжеты плеча. В таком протезе вогнутая суставная впадина располагается на ножке в плечевой кости.
Лечение переломов шейки плеча у пожилых людей
Пожилые люди часто имеют противопоказания к операциям, такие как фибрилляция предсердий, злокачественная гипертония и сахарный диабет. Им проводят обезболивание и фиксируют плечо повязкой. Лечебная физкультура начинается на раннем этапе для восстановления мышц и подвижности сустава.
В старческом возрасте оскольчатые переломы срастаются хуже из-за недостаточного кровоснабжения. Иногда выбирают эндопротезирование вместо остеосинтеза, если операция возможна. Остеопороз является противопоказанием. При хирургическом вмешательстве применяют малоинвазивные техники и фиксаторы, которые минимально травмируют мягкие ткани и кости. Фиксацию пластиной в пожилом возрасте планируют с учетом ее длительного пребывания в кости.
Сроки восстановления
После хирургического восстановления плечо фиксируют лонгетой. С третьего дня после репозиции и фиксации пациенту рекомендуют шевелить пальцами, сгибать и разгибать лучезапястный и локтевой суставы. Операционные швы снимают через неделю. Движения в плече разрешены с 20-го дня. Металлические элементы при остеосинтезе удаляют через три месяца.
При консервативном лечении иммобилизация продолжается от 6 до 8 недель. После месяца гипс снимают, и руку фиксируют на отводящей шине. Средний период реабилитации составляет 3–4 недели, полная трудоспособность восстанавливается через полгода. Пациенту необходимо поднимать руку на шине, чтобы избежать болевого синдрома.
У пожилых людей сроки восстановления значительно дольше из-за плохого кровоснабжения. Поэтому в старческом возрасте важно ежедневно выполнять упражнения и применять физиотерапевтические методы регенерации.
Возможные осложнения
Осложнения чаще всего связаны с повреждением мышц и подмышечного нерва, что нарушает функционирование плеча. Реже возникают осложнения после операций, такие как рассасывание головки плеча у пожилых людей из-за плохого кровоснабжения или перфорация головки плеча винтами. Неправильная установка пластин может привести к импиджмент-синдрому — соударению смещенного переломом большого бугорка и акромиального отростка. Синдром замороженного плеча может развиться и после консервативного лечения из-за недостаточной реабилитации.
Уход и реабилитация
Реабилитация включает улучшение кровоснабжения и оттока венозной крови из области перелома, а также восстановление мышц.
С первого дня больным рекомендуют шевелить пальцами и кистью. Через 3–4 недели торакобрахиальную повязку заменяют на лонгетную, и становятся возможными пассивные движения в локте, а затем и активные.
Лечебная физкультура (ЛФК) проводится под руководством методиста. Комплекс упражнений включает идеомоторные нагрузки (мысленное направление импульса), изометрическое напряжение мышц и перемещение ладони по столу с помощью тележки или облегченные движения на гамаке.
Упражнения выполняются по 20 минут до 5–6 раз в сутки. Когда больной сможет поднять руку над шиной и удерживать положение до 20 секунд, иммобилизацию прекращают, и начинается активная реабилитация мышц плечевого пояса. Для восстановления трудоспособности потребуется 8–10 недель.
Что касается сна с гипсом, то повязка Дезо позволяет спать на спине или здоровой стороне без смещения отломков. При травме правой руки рекомендуется спать на левом боку. Иммобилизация продолжается до формирования первичной мозоли. При торакобрахиальной повязке в положении на здоровом боку под локоть сломанной конечности подкладывают подушку, чтобы избежать свисания и боли. Если возникают боли во сне, можно выполнять маятниковые движения стоя.
Заключение
Переломы хирургической шейки плеча — распространённая травма, но их лечение может быть сложным. При множественных отломках или отрывах большого бугорка требуется операция. Современные методы лечения основываются на артроскопической хирургии. Консервативное лечение применяется только для переломов без смещения. Реабилитация после таких переломов позволяет полностью восстановить функцию плеча.
Перелом шейки плеча — это повреждение, при котором нарушается целостность плечевой кости, расположенной чуть ниже плечевого сустава. Эта травма чаще встречается у пожилых людей из-за истончения костной ткани и возрастных изменений.
Каковы симптомы перелома хирургической шейки плеча и как его лечить?
Причины возникновения и классификация
Травмы могут быть вызваны дорожно-транспортными происшествиями, авариями или падениями на руку. Риск переломов увеличивается при заболеваниях, таких как остеомиелит и остеопороз.
Переломы шейки плеча чаще всего наблюдаются у женщин в климактерическом периоде из-за гормональных изменений и дефицита кальция.
Международная классификация выделяет переломы плеча с смещением и без смещения, которые имеют свои специфические проявления и особенности лечения.
Эти повреждения делятся на три основные категории:
- Вколоченный перелом — обломок входит в костную головку.
- Аддукционный — повреждение со смещением отломков, образующих угол.
- Не вколоченный (абдукционный).
По мнению специалистов, наибольшую опасность представляют повреждения с отрывом большого бугорка плечевой кости.
Клиническая картина
При переломе шейки плеча у пациентов наблюдаются следующие клинические признаки:
- Боль, усиливающаяся при нажатии на плечевой сустав или движениях.
- Отечность.
- Посинение кожи из-за нарушения венозного оттока.
- Образование гематом.
- Ограничение подвижности и функций сустава.
- Крепитация.
Форма плеча у пострадавшего изменяется, его размеры уменьшаются. Нарушение целостности плечевой кости со смещением фрагментов характеризуется высокой степенью тяжести и проявляется следующими симптомами:
- аневризма;
- парезы;
- паралич;
- парестезия;
- хронический болевой синдром;
- некротическое поражение тканей травмированной конечности.
При вколоченных переломах симптомы могут быть слабо выражены, даже болевой синдром может проявляться незначительно.
Это опасно, так как пострадавший может не подозревать о серьезности травмы в течение нескольких дней, что усложнит лечение и может привести к нежелательным последствиям.
Каковы последствия?
Главное неблагоприятное последствие повреждений плечевой шейки — нарушение функций конечности и ограничение подвижности сустава.
Травматологи также выделяют высокие риски развития следующих осложнений:
- неправильное срастание кости;
- посттравматический артроз;
- образование ложного сустава;
- костная мозоль;
- остеомиелит;
- инфекционные процессы.
Часто это травмирование сопровождается повреждениями нервов, сухожилий, связок и кровеносных сосудов, что увеличивает риск функциональных и неврологических расстройств.
Как оказать доврачебную помощь?
При подозрении на перелом плечевой кости необходимо оказать первую помощь. Сначала иммобилизуют травмированную конечность, придавая ей слегка согнутое положение и фиксируя к туловищу.
Перед наложением транспортной шины руку обматывают ватой или мягкой тканью. В подмышечную впадину подкладывают небольшой мягкий валик.
Для шины можно использовать подручные материалы: доски, плотный картон, ветки или палки. Если потерпевший испытывает сильную боль, можно облегчить состояние с помощью ледяного компресса на травмированном участке или анальгетиков в виде таблеток или инъекций.
После этого необходимо быстро доставить пациента в ближайшее травматологическое отделение для диагностики и назначения соответствующего лечения.
Способы лечения
Методы лечения повреждений плечевой кости подбираются индивидуально, в зависимости от степени тяжести травмы и наличия осложнений.
При
Восстановительный период
Реабилитационный период при повреждениях плечевой шейки составляет в среднем 2,5-3 месяца. Сроки зависят от типа и степени тяжести повреждения, методов лечения и индивидуальных особенностей пациента.
Наиболее длительная и сложная реабилитация наблюдается у пожилых людей. В некоторых случаях для полного восстановления может потребоваться около полугода.
Процесс выздоровления может затянуться при наличии хронических заболеваний. Часто восстановление осложняется такими посттравматическими проблемами, как сепсис, образование тромбов и инфекционные процессы.
Реабилитационный курс должен быть комплексным. Лечебные мероприятия для восстановления функциональности плечевого сустава и профилактики осложнений начинаются на следующий день после наложения гипса.
Пациентам назначаются следующие физиотерапевтические процедуры:
- ультразвуковая терапия;
- парафиновые аппликации;
- лазерная терапия;
- диадинамотерапия;
- солевые ванны;
- грязевые аппликации;
- электрофорез.
Регулярные занятия лечебной физкультурой играют важную роль в выздоровлении и нормализации кровообращения. ЛФК помогает предотвратить мышечную атрофию и отеки.
Упражнения при переломе плечевой шейки направлены на разработку плечевого и локтевого суставов. Конкретный комплекс и степень нагрузки определяет лечащий врач. Обычно курс начинается с простых упражнений, таких как сгибание и разгибание рук.
Через 2 недели добавляются махи и занятия с экспандером. Заключительный этап включает полноценный гимнастический комплекс для окончательного восстановления суставных функций и длится около месяца. Занятия в плавательном бассейне также дают отличные результаты.
После снятия гипса пациентам назначается курс массажа из 8–12 сеансов. Массаж способствует нормализации кровоснабжения, разминает мышцы и повышает общий тонус организма.
В период реабилитации важно обратить внимание на питание пациента. В рацион должны входить фрукты, свежие овощи, молочные продукты, орехи, яйца, злаки, морепродукты и рыба. Эти продукты богаты минералами и витаминами, способствующими регенерации костной ткани.
Перелом хирургической шейки плечевой кости — сложная травма, особенно у пожилых пациентов.
Существуют риски развития осложнений, неправильного срастания и нарушений двигательной активности.
Своевременная медицинская помощь и комплексный подход к реабилитации позволяют избежать неприятных осложнений и восстановить функциональность плечевого сустава.
https://youtube.com/watch?v=2ptDk-f4c_g







