Мы часто игнорируем головные боли и не обращаем внимания на их частоту. Принимая таблетки, мы лишь временно устраняем дискомфорт, не задумываясь о причинах. Головная боль — это такой же симптом проблем со здоровьем, как жар при простуде или боль в животе при заболеваниях ЖКТ.
Процедура МРТ при головных болях
Головные боли могут иметь различную природу и причины. Чтобы ответить на вопрос пациента: «Почему у меня болит голова?», врачу необходимо назначить диагностику и обследования.
Основными методами диагностики являются МРТ и КТ:
- МРТ (магнитно-резонансная томография) — процедура, которая предоставляет полное представление о состоянии исследуемой области и о наличии заболеваний. Снимки получаются благодаря воздействию магнитного поля на организм.
- КТ (компьютерная томография) — метод, который также дает четкое изображение обследуемой области, но с использованием рентгеновских лучей, направляемых под разными углами.
Зачем делать МРТ головы при головных болях?
МР-томография позволяет выявить опухоли головного мозга, нарушения кровообращения, сосудистые поражения (например, аневризмы) и последствия различных заболеваний, включая инсульт. Это обследование помогает определить наличие серьезных заболеваний, которые могут проявляться хроническими или периодическими головными болями.
Если у вас болит голова, врач может направить вас на МРТ или КТ. Эти методы обеспечивают подробную информацию о возможных патологиях, но не всегда помогают установить причины головной боли. При необходимости специалист проведет более детальное обследование.
Диагностика мигрени при помощи МРТ
Сильные и продолжительные головные боли с одной стороны головы (реже — с обеих) могут сопровождаться раздражением, плохим самочувствием, тошнотой и рвотой. Эти симптомы могут указывать на мигрень или на заболевания головного мозга с аналогичной симптоматикой.
МРТ при мигрени назначают для выявления патологий сосудов головы, структурных изменений и органических поражений.
Что покажет МРТ при мигрени? Приступ мигрени сопровождается расширением сосудов мозга, за которым следует резкий болезненный спазм. МР-томограф фиксирует нарушения кровотока и выявляет ишемические очаги, которые могут появляться в большом количестве.
Какую МРТ нужно делать при головной боли?
Обследование должно быть полным, чтобы врач мог составить оптимальный план лечения и выяснить причины головной боли. Одним из первых исследований является МРТ головного мозга.
Если результаты МРТ недостаточны, могут быть назначены дополнительные исследования, такие как МРТ шейного отдела позвоночника, а также:
- ультразвуковое дуплексное сканирование сосудов шеи;
- суточное мониторирование артериального давления и ЭКГ;
- анализы крови и мочи.
Необходимость в МРТ или других методах диагностики определяет врач после сбора анамнеза и первичного осмотра пациента.
Определяемые типы головной боли
Головная боль имеет разные виды и причины, а также проявляется различными симптомами.
Синусная боль
Этот тип боли возникает из-за воспаления в носовых пазухах, сопровождающегося насморком, заложенностью носа и отеком слизистой. Боль ощущается в лбу и вокруг носа. Синусная боль проходит, когда устраняется причина — воспаление.
При нарушении кровообращения в мозгу
Нарушение мозгового кровообращения может быть острым или хроническим и часто сопровождается головными болями. В зависимости от клинической картины, это может проявляться как острая боль в голове и глазах, а также сочетаться с головокружением, тошнотой и нарушением сна.
После поражения мозговых тканей
Этот тип головной боли возникает после травм поверхностных тканей, кислородного голодания или скопления жидкости в тканях. Мягкие ткани головного мозга содержат много нервных окончаний, поэтому болезненность часто ощущается на поверхности головы и может иметь неврологический характер.
При остеохондрозе шеи
При остеохондрозе головная боль начинается в шее и затылке, затем может перейти в одну из половин головы. Интенсивность и характер боли варьируются, также могут наблюдаться головокружение и тошнота.
Как проводится МРТ головного мозга?
Для процедуры пациент ложится на стол-транспортер, который заезжает в томограф — сканирующее устройство. На время обследования пациент находится в трубе и должен оставаться неподвижным для получения четкого изображения. Процедура занимает от 15 минут.
Особой подготовки не требуется, но необходимо предупредить врача о наличии клаустрофобии, так как это может быть противопоказанием. Если во время МРТ вы почувствуете недомогание, сообщите об этом специалисту, проводящему исследование МРТ головы.
Головные боли после МРТ: что делать?
На сегодняшний день МРТ считается одной из самых безопасных диагностических методик. Однако некоторые пациенты сообщают о сильной боли в затылке или макушке, а также о тошноте и головокружении.
Эти симптомы могут возникать из-за индивидуальных особенностей организма и повышенной чувствительности к подобным воздействиям. Обычно они временные и проходят в течение суток. При необходимости врач может дать рекомендации для их облегчения.
Головная боль — самый распространенный неспецифический симптом в мире. Она может указывать на различные заболевания и имеет свои подвиды.
Виды
Среди всех видов головной боли наибольшее распространение имеют мигрень и головная боль напряжения.
Обе разновидности могут проявляться как легкой скованностью, так и сильными болями. Боль ощущается в области висков, может отдавать в глаза, затылок или свод черепа.
При головной боли часто наблюдаются вегетативные расстройства, такие как проблемы с дыханием и быстрая усталость.
Мигрень проявляется приступами, сопровождающимися интенсивной пульсирующей болью. Эти приступы могут быть спровоцированы ярким светом, другими раздражителями или хронической усталостью. Обычно такие головные боли длятся от получаса до нескольких часов.
Также выделяют третий распространенный вид головной боли — кластерную или пучковую. Ее отличает внезапное появление и локализация на одной стороне головы. Приступы могут повторяться в течение нескольких месяцев или прекращаться за неделю.
Причины возникновения
Боль в голове может возникать по разным причинам — от усталости до инфекций. Однако механизм возникновения болевых ощущений остается одинаковым. Рассмотрим его подробнее.
Сначала начинается воспалительный процесс, затрагивающий центральную нервную систему. Затем раздражаются оболочки головного мозга.
Это происходит по двум причинам: во-первых, повышается давление спинномозговой жидкости, во-вторых, происходит отравление организма. В результате возникает спазм, и кровеносные сосуды расширяются.
Некоторые специалисты выделяют психогенные источники головной боли. На первый взгляд, причины такой боли могут быть очевидны, но на самом деле их много. Рассмотрим наиболее распространенные:
- Инфекционные заболевания;
- Опухоли в области головы;
- Повышенное артериальное давление;
- Заболевания носовых пазух;
- Гормональные нарушения;
- Чувствительность к погодным условиям.
Обследования
Первичным врачом для обращения является невропатолог. Если у пациента болит голова, он проходит ряд обследований, которые назначает врач. В первую очередь проводится опрос, в ходе которого уточняются длительность и характер боли.
Справка: Для первичной диагностики заболевания необходимо пройти осмотр у нескольких специалистов, таких как невролог, стоматолог, окулист, а также сдать анализы. Обычно требуется пройти обследования с использованием современных медицинских процедур.
Дифференциальная диагностика
Боль в голове может иметь множество причин, поэтому важна дифференциальная диагностика. Главная задача врача — установить связь конкретной головной боли с определённым заболеванием. Лечение только симптомов не принесёт пользы.
Вот последовательность необходимого обследования:
-
Опрос пациента. Важно выяснить срок появления болей, их последовательность, характер и локализацию. Также следует узнать, как организм реагирует на анальгетики. Часто пациенты не могут точно описать боль при первом обращении к врачу.
-
После опроса врачи назначают необходимые исследования. Важно выбрать правильные диагностические мероприятия, чтобы пациент как можно быстрее начал лечение.
Какое МРТ делать?
Если головная боль сильная и длительная, сопровождается симптомами, такими как раздражительность, плохой сон, расстройства желудка, рвота и тошнота, это может указывать на серьезные заболевания головного мозга.
При диагностике может быть назначено МРТ головного мозга для проверки сосудистых патологий. Мигрень возникает из-за временного сужения сосудов в мозге, что приводит к спазму. МРТ позволяет выявить нарушения кровотока и ишемические изменения.
Некоторые пациенты отмечают усиление головной боли после МРТ. Причина этого явления не установлена, так как метод основан на безвредном электромагнитном воздействии.
Полное обследование необходимо для того, чтобы врач мог увидеть всю картину заболевания и назначить точное лечение. Обычно специалисты начинают с МРТ мозга.
Важно! Если причина головной боли не ясна после первой процедуры, может потребоваться дополнительное МРТ шейного отдела позвоночника, независимо от наличия головной боли. Полный сбор анамнеза поможет врачу получить необходимую информацию.
Предлагаем вам ознакомиться с интересным видео по теме:
https://youtube.com/watch?v=Q8RhTaHKCL8
Электроэнцефалография
Эта процедура полезна для сбора анамнеза при головных болях. Она позволяет выявить отклонения в работе мозга, поражения сосудов и ранние признаки опухолей.
Рентген
Рентген позволяет выявить гидроцефалию и другие травмы.
Процесс основан на том, что рентгеновские лучи проходят через организм и его ткани. Однако не все ткани одинаково пропускают эти лучи из-за различий в плотности. Это фиксируется на пленке в виде менее ярких участков. Мягкие ткани отображаются темнее.
Благодаря этим особенностям врач может определить поврежденные ткани, выяснить причины повреждений и назначить лечение. Рентген — простой метод, не требующий сложного оборудования и имеющий низкую стоимость по сравнению с другими методами. Поэтому его часто используют в первой линии диагностики. Однако стоит отметить, что рентген головы применяется для оценки целостности костей черепа.
Компьютерная томография
Данный метод диагностики позволяет выявить наличие кровоизлияний в головном мозге и изменения в его структуре. Он помогает точно определить наличие опухолей, кист, аневризм и других образований в организме, в частности в голове.
Электромиография
Такое обследование проводится для определения повреждений нейромышечного аппарата человека, в частности, повреждений нервных волокон.
Лабораторные исследования
Лабораторные процедуры предназначены для выявления инфекций и различных воспалений в организме человека.
УЗИ
Данное диагностическое мероприятие расшифровывается как ультразвуковая диагностика. В данном случае исследуется голова для выявления атеросклероза и других проблем, связанных с сосудами, артериями и капиллярами.
Заключение
Категорически запрещено ставить себе диагноз самостоятельно. Головная боль может быть симптомом серьезных заболеваний, таких как опухоль или кровоизлияние в мозг. Поэтому лечение головной боли должно начинаться с визита к врачу. Следуя его рекомендациям, можно эффективно справиться с недугом.
МРТ при головных болях (в трех проекциях) позволяет получить объемные изображения, что помогает выявить даже незначительные изменения и отличить патологию от нормы.
Причин головной боли множество, и не всегда их можно определить без современных методов визуализации. Цефалгию могут вызывать повышенное внутричерепное давление, сосудистые мальформации, опухоли и посттравматические осложнения. Выбор между МРТ и КТ зависит от предполагаемой патологии. Оба метода взаимодополняют друг друга, но решение о том, что лучше в конкретном случае, принимает врач, учитывая жалобы, показания и противопоказания. МРТ и КТ с контрастом дают сопоставимые по качеству снимки, но используют разные принципы построения изображений. Чем раньше будет установлена причина и начато лечение, тем выше шансы на полное выздоровление.
Какую МРТ делать при головных болях?
Существует несколько видов магнитно-резонансной томографии головы: нативная, с контрастным усилением и ангиорежим. Ответить на вопрос: “Какую МРТ делать при головной боли?” не всегда просто, так как выбор зависит от клинической картины.
Для оценки опухолевых новообразований и определения стадийности, включая метастатическое распространение, используется МРТ с контрастированием. Препараты на основе хелатов гадолиния помогают выявить даже небольшие опухоли в труднодоступных местах. Поэтому магнитное сканирование с усилением эффективно, если другие методы визуализации дали неоднозначные результаты. При подозрении на сосудистое заболевание головного мозга лучше проводить сканирование в ангиорежиме.
Причины головной боли
Необъяснимая цефалгия, возникающая регулярно и ухудшающая качество жизни, не является нормой. Сильная боль — веский повод для проведения МРТ головного мозга, а не для самолечения.
Любая повторяющаяся головная боль сигнализирует о патологическом процессе, требующем уточнения. Самостоятельный прием таблеток для купирования симптомов — не лучший вариант, так как препараты устраняют следствие, но не влияют на причину цефалгии. Бесконтрольное лечение может привести к осложнениям: некоторые анальгетики способствуют развитию злокачественных новообразований в почках и мочевом пузыре. Длительный прием лекарств может вызвать нефропатию и хроническую почечную недостаточность.
МРТ головного мозга может выявить:
- опухолевые процессы (доброкачественные и злокачественные);
- последствия травм (гематомы, кровоизлияния);
- демиелинизацию при рассеянном склерозе и других атрофических процессах;
- инфекционные поражения;
- аневризмы, диссекции, стенозы и сосудистые мальформации, включая врожденные аномалии;
- дегенеративные процессы в сосудах на фоне атеросклероза;
- острые (ишемический или геморрагический инсульт) и хронические нарушения мозгового кровообращения.
Ноющая боль в затылочной зоне при нормальном артериальном давлении чаще всего связана с остеохондрозом. При повышении температуры, выраженной слабости и напряжении мышц необходимо исключить менингит. Внезапная острая боль в затылке, распространяющаяся на другие зоны головы, может указывать на субарахноидальное кровоизлияние (разновидность инсульта).
Частые головные боли
Онкологи подчеркивают, что при нарастающих головных болях, сопровождающихся необъяснимыми симптомами (обмороками, ухудшением памяти, выпадением полей зрения, давлением на глазные яблоки и др.), необходимо в первую очередь исключить опухолевую патологию.
Частые головные боли могут иметь различные причины, и иногда они сигнализируют о серьезном заболевании. В 90% случаев после определения причины возможно адекватное лечение, которое улучшит качество жизни. Состояния, для которых характерна цефалгия, включают:
- мигрень;
- гипертонию;
- посттравматические осложнения;
- опухоли;
- сосудистые заболевания.
Если причина головной боли не установлена, рекомендуется пройти МРТ головы. Не стоит сразу подозревать у себя серьезные заболевания. Например, боль в затылке может быть вызвана переутомлением, и нормализация режима труда и отдыха поможет решить проблему. При повышенном давлении часто наблюдаются головокружение, покраснение кожи и шум в ушах. Боль в лобной части головы обычно вторична и проходит после приема гипотензивного препарата. Однако гипертония может быть связана с сосудистыми патологиями или опухолевой компрессией, поэтому МРТ при сильных головных болях является важным этапом в дифференциальной диагностике.
Если делать МРТ, когда не болит голова
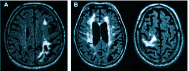
Множественные ишемические очаги при сосудистой деменции на МРТ: отсутствие памяти на недавние события и неадекватное поведение не являются нормой для пожилых людей. Своевременная диагностика деменции и патогенетическая терапия могут замедлить прогрессирование болезни.
МРТ — это обследование, которое проводят не только при головной боли. Магнитно-резонансная томография помогает установить причины следующих жалоб:
- кратковременные потери сознания, необъяснимые первичной диагностикой;
- мелькание мушек перед глазами и прогрессирующее ухудшение зрения (в рамках комплексной офтальмологической диагностики);
- повышение артериального давления и устойчивость к гипотензивным препаратам;
- периодическая тошнота и рвота при изменениях глазного дна (признаки повышенного внутричерепного давления);
- эпилептические припадки;
- ухудшение памяти и слабоумие (деменция);
- постоянный шум в ушах;
- дискоординированность движений (шаткая походка, подволакивание нижних конечностей и др.);
- головокружение.
Врач определяет вид и объем обследования. Иногда необходимо оценить не только структуры мозга, но и воротниковую зону, так как головокружение и головная боль могут быть связаны с шейным остеохондрозом, грыжей или воспалением нерва.
МРТ головного мозга также необходимо при некоторых эндокринологических патологиях, так как гормональные нарушения могут быть вызваны сдавлением опухолью важных структур, отвечающих за деятельность желез. Томограммы показывают изменения в гипоталамусе и гипофизе. МРТ при головных болях и головокружении, а также при подозрении на опухоль или сосудистые патологии можно пройти в диагностическом центре “Медицина Северной столицы”.
Виды головной боли
Боль при шейном остеохондрозе сначала возникает в затылке, а затем, по мере прогрессирования заболевания, распространяется на лобно-височную область.
Болевой синдром при различных патологиях отличается по интенсивности, локализации и длительности. Он может сопровождаться такими симптомами, как тошнота, выпадение полей зрения и потеря сознания. Цефалгия может развиваться самостоятельно или быть связана с другими состояниями. Специалисты рекомендуют обратиться к врачу, если регулярно беспокоит ноющая, мигренеподобная или распирающая головная боль в темечке, затылке или висках. Необходима первичная диагностика, которая включает:
- общий анализ крови;
- измерение артериального давления;
- УЗДГ сосудов головы и шеи;
- рентгенографию костей черепа.
Не всегда эти обследования помогают выявить органическую причину, поэтому может потребоваться МРТ головы. Томограммы позволяют предположить доброкачественный или злокачественный характер поражения, но окончательный диагноз устанавливается только при морфологическом исследовании ткани из подозрительного участка.
Головная боль после МРТ
Не стоит бояться обследования: страхи иррациональны, а головная боль после МРТ — это реакция на стресс или симптом заболевания, из-за которого проводится диагностика.
МРТ — неинвазивный метод обследования, основанный на создании изображений с помощью радиоволн и мощного магнитного поля, что абсолютно безопасно для здоровья. Головные боли после МРТ могут быть вызваны нервным перенапряжением в ожидании результата и являются индивидуальной реакцией на стресс. Процедура магнитно-резонансного сканирования длится около 30-40 минут, и важна максимальная неподвижность пациента. Шум аппарата можно снизить с помощью наушников с музыкой. Во время диагностики не возникает болевых ощущений. При необходимости можно повторить МРТ для отслеживания ситуации. Некоторые пациенты отмечают усиление головной боли после исследования, но специалисты считают, что это связано с основным заболеванием или самовнушением. Цефалгией функционального или психогенного генеза занимаются неврологи, психиатры или терапевты, а МРТ помогает выявить изменения органического характера.
Что покажет МРТ головы с контрастом
После контрастирования при МРТ детализация мелких структур значительно улучшается. Онкологи предпочитают магнитно-резонансную томографию с усилением, так как это позволяет увидеть контуры опухоли, определить степень ее инвазии и диагностировать метастазы. МРТ с контрастом лучше выявляет изменения после операции и патологические очаги в головном мозге при рассеянном склерозе и болезни Альцгеймера. Чаще всего используют препараты на основе хелатов гадолиния. Мировая практика подтверждает высокий профиль безопасности: при правильном применении осложнения возникают крайне редко.
В каких случаях противопоказаны МРТ и КТ
МРТ и КТ не назначают на ранних сроках беременности (до 12 недель), за исключением случаев, угрожающих жизни, когда обследование возможно по направлению консилиума. МРТ противопоказано при наличии электронных устройств или ферромагнитных имплантов. Относительным противопоказанием является клаустрофобия или невозможность лежать неподвижно. В таких случаях МРТ при головной боли и головокружении выполняется в стационаре с предварительным введением седативных препаратов.
КТ с контрастом проводится только по направлению врача, так как имеет больше противопоказаний по сравнению с МРТ:
- аллергия на йод;
- сахарный диабет (прием Метформина и аналогов);
- гиперфункция щитовидной железы;
- заболевания почек с повышенным уровнем креатинина;
- беременность на любом сроке.
Пациенты с сахарным диабетом должны прекратить прием Метформина за 48 часов до процедуры по согласованию с эндокринологом. Кормящим матерям рекомендуется сделать запас молока на два кормления.
Современные методы визуализации дополняют друг друга, и выбор между МРТ и КТ при головной боли зависит от конкретной ситуации. Чтобы избежать ненужной диагностики, лучше доверить выбор врачу.






